您的位置: 网站首页 >> 产品中心 >> >> 抗体 > β2-微球蛋白单克隆抗体(B2M)
产品名称:

β2-微球蛋白单克隆抗体(B2M)

产品型号: 产品时间: 2023-03-08
小鼠抗人β2微球蛋白在中枢神经系统感染、肿瘤及全身性自身免疫性疾病患者脑脊液中,β2-微球蛋白单克隆抗体(B2M)会出现β2MG蛋白不同程度的增高。

产品概述

英文名称:Anti-beta 2 Microglobulin (B2E5)​

中文名称:β2-微球蛋白单克隆抗体(B2M)

抗体来源:小鼠

克隆类型:单克隆

交叉反应:人​

产品应用:ELISA=1:500-1000 IHC-P=1:100-500 IHC-F=1:100-500 IF=1:100-500(石蜡切片需做抗原修复)

分  子 量:13kDa

​细胞定位:分泌型蛋白

状态:冻干或液体

浓度:1mg/ml

来源于:Recombinant human beta 2 Microglobulin protein:

亚型:IgG

纯化方法:affinity purified by Protein A

储存液:0.01M TBS(pH7.4) with 1% BSA, 0.03% Proclin300 and 50% Glycerol.

别    名:B2M; Beta-2-MG; Beta 2 microglobulin precursor; Beta chain of mhc class 1 proteins; Hdcma22p; B2MG_HUMAN; Beta 2 microglobin; Beta-2 microglobulin precursor; Beta chain of mhc class 1 proteins; Beta chain of MHC class I molecules; Beta-2-microglobulin form pI 5.3; CDABP0092.

保存条件:在-20°C下保存一年。避免反复冻融。冻干抗体在室温下至少稳定一个月,并在-20°C下保持一年以上。当在无菌pH7.4 0.01M PBS或抗体稀释剂中重组时,抗体在2-4°C下至少稳定两周。

 

​产品介绍:

该基因编码与主要组织相容性复合体(MHC)I类重链在几乎所有有核细胞的表面上发现的血清蛋白。这种蛋白主要是β-折叠片结构,在某些病理条件下可以形成淀粉样纤维。该基因突变导致高凝性低蛋白血症。

 

功能:

一级主要组织相容性复合体(MHC)的成分。参与肽抗原向免疫系统的表达。

 

子单元:

α链和β链的异二聚体。β-2-微球蛋白是主要组织相容性复合物I类分子的β链。β2-微球蛋白聚合物可在长期血液透析患者的组织中发现。

 

亚细胞位置:

秘密的。注=检测到血清和尿液。

 

翻译后修改:

长期血液透析患者可观察到ILE-21的糖基化。

 

疾病:

B2M缺陷是导致高凝性低蛋白血症(hycathyp)的原因[mim:241600]。受影响的个体血清丙种球蛋白和albumin的血清浓度显著降低,这可能是由于快速降解。

注=β-2-微球蛋白在某些病理状态下可能采用淀粉样蛋白的纤维结构。聚集成淀粉样纤维的能力取决于浓度。持续高β(2)-微球蛋白水平导致长期血液透析患者淀粉样变性。

 

相似性:

属于β-2-微球蛋白家族。

包含1个免疫球蛋白样C1型(免疫球蛋白样)结构域。

 

相似性:

属于肝素结合生长因子家族。

 

重要提示:

本产品仅用于研究用途,不用于人类、治疗或诊断应用

小鼠抗人β2微球蛋白在中枢神经系统感染、肿瘤及全身性自身免疫性疾病患者脑脊液中,会出现β2MG蛋白不同程度的增高。

​​​​​​​​​​​​​​​

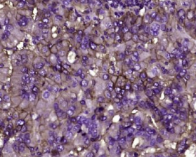
多聚甲醛固定,石蜡包埋(人肝癌);用柠檬酸钠缓冲液煮沸(15分钟)提取抗原;用3%过氧化氢阻断内源性过氧化物20分钟;阻断缓冲液(正常山羊血清)37℃30分钟;抗体孵育(β2 MI)未结合的球蛋白(B2E5)单克隆抗体,1:400,4°C下过夜,然后根据SP试剂盒(小鼠)说明和DAB染色进行操作。

 

公司优势:
1)质量:我司提供的的试剂为世界。
2)价格:价格实惠,量大从优。
4)服务:提供完整的售前、售后和售中服务。售后到底。

如需订购β2-微球蛋白单克隆抗体(B2M)​,请联系我们。

Anti-CollagenⅩ(Collagen TypeⅩ)  抗Ⅹ型胶原抗体
Anti-COX-1 (Prostaglandin-endoperoxide synthase-1)  前列腺素氧化环化酶1抗体
Anti-COX-2 (Prostaglandin-endoperoxide synthase-2)  前列腺素氧化环化酶2抗体
Anti-C-PC(c-phycocyanin )  C-藻蓝素/藻蓝蛋白抗体
Anti-C-Peptide( C-PEP )  C-肽

留言框

  • 产品:

  • 您的单位:

  • 您的姓名:

  • 联系电话:

  • 常用邮箱:

  • 省份:

  • 详细地址:

  • 补充说明:

  • 验证码:

    请输入计算结果(填写阿拉伯数字),如:三加四=7
分享到:
版权所有©2019 上海晅科生物科技有限公司 备案号:京ICP证000000号
  • 扫一扫,关注我们