您的位置: 网站首页 >> 产品中心 >> 细胞 >> 原代细胞 > HCGC;人小脑颗粒细胞(原代细胞)
产品名称:

HCGC;人小脑颗粒细胞(原代细胞)

产品型号: 产品时间: 2023-03-27
小脑的发育涉及一组协调的细胞运动和两个独立的增殖区:心室区和外部颗粒细胞层(EGL),一个菱形唇衍生的祖细胞池[1]。EGL在早期小脑形成期间出现分离,仅产生颗粒细胞。HCGC;人小脑颗粒细胞(原代细胞)是大脑中较丰富的神经元,在人类中约为1×10^11 [2]。它们的轴突沿着冠状轴作为平行纤维运行,并且由这种排列产生的一维激发扩散是小脑功能理论中的关键假设。
ScienCell:1530

产品概述

产品名称:HCGC;人小脑颗粒细胞(原代细胞)​

​ScienCell:1530

5×10^5个细胞/瓶

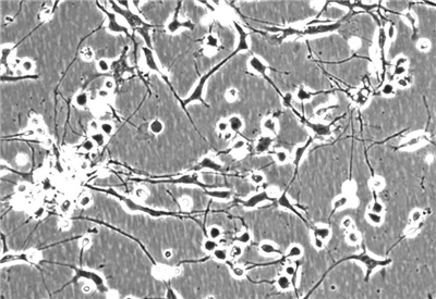
来自ScienCell研究实验室的HCGC从人类小脑中分离出来。HCGC在P0冷冻保存并冷冻。每个小瓶含有>1×10^6个细胞,1ml体积。HCGC的特征在于用对神经丝,MAP2和β-微管蛋白III特异的抗体的免疫荧光。HCGC对HIV-1,HBV,HCV,支原体,细菌,酵母和真菌均为阴性。HCGC保证在ScienCell研究实验室提供的条件下进一步培养; 然而,HCGC不推荐用于扩增或长期培养,因为细胞不在培养物中增殖。​​​​​

​该产品仅供研究使用。它未被批准用于人类,动物或体外诊断程序。​

经检测无支原体、细菌、酵母和真菌污染

​​​

小脑的发育涉及一组协调的细胞运动和两个独立的增殖区:心室区和外部颗粒细胞层(EGL),一个菱形唇衍生的祖细胞池[1]。EGL在早期小脑形成期间出现分离,仅产生颗粒细胞。小脑颗粒细胞(CGC)是大脑中丰富的神经元,在人类中约为1×10 ^ 11 [2]。它们的轴突沿着冠状轴作为平行纤维运行,并且由这种排列产生的一维激发扩散是小脑功能理论中的关键假设。CGC接受来自高尔基体细胞的抑制性突触输入,其由γ-氨基丁酸(GABA)介导。在体内和体外发育期间,CGC依赖于NMDA谷氨酸受体亚型的存活和*分化活性[3]。培养的CGC被广泛用作研究神经细胞凋亡的模型系统。​

鼠胚成纤维细胞系(STO)
小鼠淋巴结血管上皮样细胞SVEC4-10
人骨肉瘤细胞
人肾上腺皮质腺癌细胞
人结肠癌细胞系(SW480)

公司优势:
1)质量:我司提供的的细胞为世界ATCC和Sciencell
2)价格:价格实惠,量大从优,产品价格随时会变动,实时报价还请来电获取。
4)服务:提供完整的售前、售后和售中服务。售后到底

 

​在接收时将细胞从干冰直接并立即转移至液氮,并将细胞保持在液氮中直至实验需要细胞培养。

晅科生物致力于为国内科研用户提供*质的产品,完善的服务。帮助您实验顺利。视天气状况和运输距离远近,公司与客户协商

 

晅科生物为研究界提供各种高质量的正常人和动物细胞,细胞培养基和试剂,基因分析工具,细胞衍生的分子生物学产品,基于细胞的检测试剂盒和干细胞产品。

​客户在细胞培养过程中,有任何技术问题可以联系售后服务

​客户应具有一定细胞培养知识与经验,并具备基本实验设备,如细胞培养实验室、无菌操作台、CO2培养箱,倒置显微镜等;还应准备好相应的无菌培养基、血清、双抗、细胞培养瓶、培养板等。

 

如需订购HCGC;人小脑颗粒细胞(原代细胞)​​​​​,请联系我们。

此外公司还提供:

人肝癌细胞
小鼠骨髓瘤细胞
人肺癌细胞系(SPC-A1)
小鼠SRSV转化的3T3细胞
猪睾丸细胞系(ST)

留言框

  • 产品:

  • 您的单位:

  • 您的姓名:

  • 联系电话:

  • 常用邮箱:

  • 省份:

  • 详细地址:

  • 补充说明:

  • 验证码:

    请输入计算结果(填写阿拉伯数字),如:三加四=7
分享到:
版权所有©2019 上海晅科生物科技有限公司 备案号:京ICP证000000号
  • 扫一扫,关注我们