您的位置: 网站首页 >> 产品中心 >> >> 抗体 > 胞环蛋白肌动蛋白结合蛋白抗体(Anillin)
产品名称:

胞环蛋白肌动蛋白结合蛋白抗体(Anillin)

产品型号: 产品时间: 2023-03-08
阿尼林,也被称为废料同源物,是一种进化上保守的肌动蛋白结合蛋白所需的细胞因子病,*确定在果蝇黑腹。阿尼林是一种广泛表达的蛋白质,在中枢神经系统中表达水平高。它主要存在于核内,在细胞分裂过程中定位于分裂沟,在rac gtpase的帮助下形成一个环。在细胞分裂过程中,阿尼林与CD2AP相互作用,作用于浓缩rho a,维持活性肌球蛋白的定位胞环蛋白肌动蛋白结合蛋白抗体(Anillin)。

产品概述

英文名称:Anti-Anillin​

中文名称:胞环蛋白肌动蛋白结合蛋白抗体(Anillin)

抗体来源:兔

克隆类型:多克隆

交叉反应:人、大鼠、小鼠、狗、牛、马、兔子​​

产品应用:ELISA=1:500-1000 IHC-P=1:400-800 IHC-F=1:400-800 Flow-Cyt=1ug/test ICC=1:100-500 IF=1:100-500​(石蜡切片需做抗原修复)

尚未在其他应用程序中测试。

用户终应确定合适稀释浓度。

分子量:124kDa

细胞定位:细胞核 细胞浆

状态:冻干或液体

浓度:1mg/ml

来源于:KLH conjugated synthetic peptide derived from human Anillin:501-600/1124

亚型:IgG

纯化方法:affinity purified by Protein A

储存液:0.01M TBS(pH7.4) with 1% BSA, 0.03% Proclin300 and 50% Glycerol.

​别    名:Actin binding protein scraps homolog Drosophila; Actin binding protein anillin; Anillin actin binding protein; ANLN; DKFZp779A055; Scra; Scraps; Scraps homolog.​

保存条件:在-20°C下保存一年。避免重复冻融循环。冻干抗体在室温下至少稳定一个月,并在-20°C下保持一年以上。当在无菌pH7.4 0.01M PBS或抗体稀释剂中重组时,抗体在2-4°C下至少稳定两周。

产品介绍

阿尼林,也被称为废料同源物,是一种进化上保守的肌动蛋白结合蛋白所需的细胞因子病,*确定在果蝇黑腹。阿尼林是一种广泛表达的蛋白质,在中枢神经系统中表达水平高。它主要存在于核内,在细胞分裂过程中定位于分裂沟,在rac gtpase的帮助下形成一个环。在细胞分裂过程中,阿尼林与CD2AP相互作用,作用于浓缩rho a,维持活性肌球蛋白的定位。在阿尼林敲除细胞中,分裂沟不能*进入。苯胺的表达水平随细胞周期波动,在有丝分裂中达到峰值。在细胞进入G1之前,阿尼林与E-钙粘蛋白结合,并被后期促进复合物/环小体(apc/c)泛素化。APC/C识别阿尼林N端区域的D盒结构域。阿尼林通常在肿瘤中过度表达,可能是一种潜在的生物标志物。阿尼林是细胞分裂所必需的。这对解理沟的结构完整性和解理沟侵入的完成至关重要。

 

功能:

细胞分裂所需。对解理沟的结构完整性和解理沟侵入的完成至关重要。

 

Subunit:

与肌动蛋白相互作用。与CD2AP相互作用。可能与rhoa相互作用。有丝分裂退出时与FZR1/CDH1相互作用。

 

亚细胞位置:

细胞核。细胞质,细胞骨架。细胞质,细胞皮质。注=主要在间期核中发现。核包膜破裂时与皮质肌动蛋白共存,后期集中在预期收缩环区域。这种模式一直持续到末期,当蛋白质集中在中体时。

 

组织特异性:

无处不在的表达。存在于大脑,胎盘和睾丸的高水平,肠、卵巢、骨骼肌和胸腺的中等水平,心脏、肾脏、肝脏、肺、胰腺、前列腺和脾脏的低水平。在许多肿瘤类型中过度表达,包括乳腺、结直肠、子宫内膜、肝、肾、肺、卵巢和胰腺肿瘤。

 

翻译后修改:

有丝分裂时磷酸化。

泛素化,这需要FZR1/CDH1。

 

重要注意事项:

本产品仅用于研究用途,不用于人类、治疗或诊断应用。

​​​

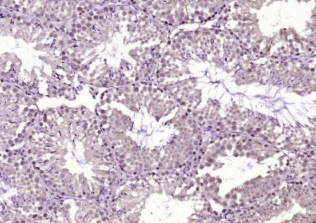
​多聚甲醛固定,石蜡包埋(小鼠睾丸);经柠檬酸钠缓冲液(pH6.0)煮沸15min后获得抗原;用3%过氧化氢阻断内源过氧化物酶20分钟;阻断缓冲液(正常山羊血清)37℃30min;用(青霉素)多克隆抗体孵育。L抗体,未结合,1:400,4°C下过夜,然后根据SP试剂盒(兔子)说明和DAB染色进行操作。

公司优势:
1)质量:我司提供的的试剂为世界。
2)价格:价格实惠,量大从优。
4)服务:提供完整的售前、售后和售中服务。售后到底。

如需订购胞环蛋白肌动蛋白结合蛋白抗体(Anillin)​​​​​​​​,请联系我们。

Anti-MICA(MHC class I polypeptide-related sequence A)  一种细胞应激分子抗体
Anti-Midnolin isoform Protein 1  中脑核仁蛋白1抗体
Anti-Midnolin isoform Protein 2  中脑核仁蛋白2抗体
Anti-MIF (Macrophage Migration Inhibitory Factor)  巨噬细胞移动抑制因子抗体
Anti-MIP-1α (macrophage inflammatory protein 1α)  巨噬细胞炎症因子1α抗体
Anti-MIP-1β (macrophage inflammatory protein 1β)  巨噬细胞炎症因子1β 抗体
Anti-MMP-1(matrix metalloproteinases-1)  基质金属蛋白酶-1抗体

留言框

  • 产品:

  • 您的单位:

  • 您的姓名:

  • 联系电话:

  • 常用邮箱:

  • 省份:

  • 详细地址:

  • 补充说明:

  • 验证码:

    请输入计算结果(填写阿拉伯数字),如:三加四=7
分享到:
版权所有©2019 上海晅科生物科技有限公司 备案号:京ICP证000000号
  • 扫一扫,关注我们