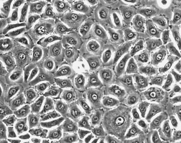
产品名称:HOK;人口腔黏膜角化细胞(原代细胞)
ScienCell:2610
5×10^5个细胞/瓶
来自ScienCell研究实验室的HOK从人口腔粘膜中分离出来。HOK在*代冷冻保存并冷冻。每个小瓶含有>5×10^5个细胞,1ml体积。HOK的特征在于免疫荧光,其具有对细胞角蛋白-8,-18和-19特异的抗体。HOK对HIV-1,HBV,HCV,支原体,细菌,酵母和真菌均为阴性。在ScienCell研究实验室提供的条件下,HOK保证进一步扩大10次人口倍增。
该产品仅供研究使用。它未被批准用于人类,动物或体外诊断程序。
经检测无支原体、细菌、酵母和真菌污染
口腔角质形成细胞是可能导致局部细胞损伤的物理,微生物和化学试剂的主要屏障。它们通过组成性或在各种刺激后产生细胞因子参与促炎过程[1]。因此,口腔角质形成细胞可能通过涉及不同白细胞介素(如IL-1β和IL-18)的炎症过程参与控制口腔感染[2]。口腔角质形成细胞表达多种分化标志物,其表达受钙诱导的靶基因转录变化的影响[3]。口腔角质形成细胞与表征良好的真皮角质形成细胞具有主要的结构和功能特征,以及是研究基础角质形成细胞生物学的良好模型。
小鼠网织细胞肉瘤 |
小鼠正常肝细胞 |
正常小鼠睾丸Leydig细胞 |
正常小鼠睾丸Leydig细胞 |
615小鼠乳腺癌瘤株 |
晅科生物为研究界提供各种高质量的正常人和动物细胞,细胞培养基和试剂,基因分析工具,细胞衍生的分子生物学产品,基于细胞的检测试剂盒和干细胞产品。
客户在细胞培养过程中,有任何技术问题可以联系售后服务
参考:
[1](1994)长期发炎的人牙龈中的上皮内γδT细胞的细胞因子谱和超微结构提示细胞毒性效应子功能。J. Immunol。153:二三〇二年至2312年。
[2](2002)Interleukin-18和Gamma Interferon Production by Oral Epithelial Cells,以响应暴露于白色念珠菌或脂多糖刺激。感染。与免疫。70:7073-7080。
[3](2000)皮肤和口腔的上皮结构蛋白:在健康和疾病中的作用。暴击。Rev. Oral Biol。医学。11:383-408。
晅科生物致力于为国内科研用户提供*质的产品,完善的服务。帮助您实验顺利。视天气状况和运输距离远近,公司与客户协商
1、从正常人、病人、小鼠、大鼠、兔、猪、牛等等组织中对原代细胞进行分离、培养、鉴定:我们将以客户要求为标准,提供多种属如正常人、病人、小鼠、大鼠、兔、猪、牛、其它动物原代细胞的分离、培养、鉴定,并提供相应的文件、资料、数据和检测证书。对于人源性细胞,必要时,在许可的条件下,我们尽可能的满足客户所提供的要求。
2、从建立实验性疾病动物(小鼠、大鼠、兔)模型体内组织中对原代细胞进行分离、培养、鉴定: 我们将以客户要求,建立标准实验性疾病动物模型,或客户提供实验性疾病动物模型,对原代细胞进行分离、培养、鉴定,并提供相应的文件、资料、数据和检测证书。
3、NK、γδT、CD3AK、DC、CIK等特定免疫细胞的分离、诱导、表型鉴定、扩增和定向改造。
公司优势:
1)质量:我司提供的的细胞为世界ATCC和Sciencell
2)价格:价格实惠,量大从优,产品价格随时会变动,实时报价还请来电获取。
4)服务:提供完整的售前、售后和售中服务。售后到底
如需订购HOK;人口腔黏膜角化细胞(原代细胞),请联系我们。
此外公司还提供:
绿色荧光蛋白标记小鼠子宫颈癌细胞 |
小鼠浆细胞瘤 |
转PYTL基因小鼠睾丸支持细胞 |
BALB/C小鼠肝上皮细胞 |
小鼠结肠癌细胞 |