英文名称:Anti-BRD1
中文名称:BRD1蛋白抗体
抗体来源:兔子
克隆类型:多克隆
交叉反应:人、小鼠、大鼠、鸡、狗、牛、马、兔子
产品应用:WB=1:500-2000 ELISA=1:500-1000 IHC-P=1:100-500 IHC-F=1:100-500 IF=1:50-200 (石蜡切片需做抗原修复)
分 子 量:119kDa
细胞定位:细胞核
状态:冻干或液体
浓度:1mg/ml
来源于:KLH conjugated synthetic peptide derived from human BRD1:701-800/1058
亚型:IgG
纯化方法:affinity purified by Protein A
储存液:0.01M TBS(pH7.4) with 1% BSA, 0.03% Proclin300 and 50% Glycerol.
别 名:BR140-like protein; BRD1; BRD1_HUMAN; BRL; Bromodomain and PHD finger-containing protein 2; Bromodomain-containing protein 1; BRPF1; BRPF2.
保存条件:在-20°C下保存一年。避免反复冻融。冻干抗体在室温下至少稳定一个月,并在-20°C下保持一年以上。当在无菌pH7.4 0.01M PBS或抗体稀释剂中重组时,抗体在2-4°C下至少稳定两周。
产品介绍:
具有组蛋白H3乙酰转移酶活性的Moz/MORF复合物的成分。
子单元:
moz/morf复合体的组成部分,至少由ing5、kat6a、kat6b、meaf6和brpf1、brd1/brpf2和brpf3中的一个组成。
亚细胞位置:
原子核。
组织特异性:
在睾丸中高度表达。
相似性:
包含1个溴域。
包含1个PhD型锌指。
包含1个pwp域。
重要提示:
本产品仅用于研究用途,不用于人类、治疗或诊断应用
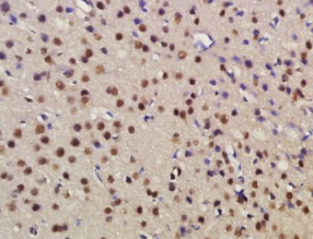
组织/细胞:大鼠脑组织;4%多聚甲醛固定石蜡包埋;
抗原提取:柠檬酸缓冲液(0.01M,pH 6),15min煮沸,用3%过氧化氢阻断内源性过氧化物酶30min;37℃下阻断缓冲液(正常山羊血清)20 min;
孵育:抗BRD1多克隆抗体,未结合1:200,4°C下过夜,然后与二级抗体结合,DAB染色。
公司优势:
1)质量:我司提供的的试剂为世界。
2)价格:价格实惠,量大从优。
4)服务:提供完整的售前、售后和售中服务。售后到底。
如需订购BRD1蛋白抗体,请联系我们。
Anti-CXC-R3/CD183 (Chemokine receptoYT-X-C chemokine receptor type 3) 细胞表面趋化因子受体3抗体 |
anti-cx3cl1(chemokine (C-X3-C motif) ligand 1) 趋化因子(C-X3-C 基元)配体1抗体 |
Anti-CXorf36 (uncharacterized protein Cxorf36 precursor) 脱羧酶蛋白体3抗体 |
Anti-CXorf36 (uncharacterized protein Cxorf36 precursor) 脱羧酶蛋白体36抗体 |