英文名称:Anti-Apolipoprotein E3
中文名称:载脂蛋白E3抗体(APOE3)
抗体来源:兔
克隆类型:多克隆
交叉反应:人类、大鼠、小鼠、猪、牛
产品应用:WB=1:500-2000 ELISA=1:500-1000 IHC-P=1:400-800 IHC-F=1:400-800 IF=1:100-500(石蜡切片需做抗原修复)
尚未在其他应用程序中测试。
用户终应确定合适稀释浓度。
分子量:34kDa
细胞定位:分泌型蛋白
状态:冻干或液体
浓度:1mg/ml
来源于:KLH conjugated synthetic peptide derived from human APOE3:101-180/191
亚型:IgG
纯化方法:affinity purified by Protein A
储存液:0.01M TBS(pH7.4) with 1% BSA, 0.03% Proclin300 and 50% Glycerol.
别 名:AD2; APOE3; ApoEb; Apolipoprotein EIII; Apolipoprotein E; APOE_HUMAN.
保存条件:在-20°C下保存一年。避免重复冻融循环。冻干抗体在室温下至少稳定一个月,并在-20°C下保持一年以上。当在无菌pH7.4 0.01M PBS或抗体稀释剂中重组时,抗体在2-4°C下至少稳定两周。
产品介绍
载脂蛋白E是乳糜微粒的主要载脂蛋白,与肝细胞和外周细胞上的一种特殊受体结合,对富含甘油三酯的脂蛋白组分的正常分解代谢至关重要。载脂蛋白E存在三种主要亚型:E2、E3和E4,它们通过一个单一的氨基酸取代相互区别。与e3和e4相比,e2具有低的受体结合亲和力。载脂蛋白E缺陷是由于血浆胆固醇和甘油三酯水平升高导致的III型高脂蛋白血症的原因,而血浆胆固醇和甘油三酯水平是乳糜微粒和极低密度脂蛋白残留清除受损的结果。
摘要:通过受体介导的肝内吞作用,乳糜微粒和极低密度脂蛋白(VLDL)残留物迅速从循环中清除。载脂蛋白E是乳糜微粒的主要载脂蛋白,与肝细胞和外周细胞上的一种特殊受体结合。载脂蛋白E对富含甘油三酯的脂蛋白组分的正常分解代谢至关重要。载脂蛋白E基因被定位到载脂蛋白C1和载脂蛋白C2簇中的19号染色体上。载脂蛋白E缺陷导致家族性β脂蛋白异常血症或III型高脂蛋白血症(HLP III),其中血浆胆固醇和甘油三酯升高是乳糜微粒和VLDL残留清除受损的结果。[由RefSeq提供,2008年7月]。
功能:
介导脂蛋白颗粒的结合、内化和分解代谢。可作为肝组织LDL(apo b/e)受体和特异性apo-e受体(乳糜微粒残留)的配体。
亚细胞位置:
分泌的
组织特异性:
在血浆中的所有脂蛋白组分中出现。极低密度脂蛋白(VLDL)占10-20%,高密度脂蛋白(HDL)占1-2%。载脂蛋白E在大多数器官中产生。肝脏、大脑、脾脏、肺、肾上腺、卵巢、肾脏和肌肉中产生大量。
翻译后修改:
以邻糖苷键连接的唾液酸合成,随后在血浆中进行脱乙酰化。O-糖基化的核心1或可能的核心8聚糖。与SER-308相比,THR-307是一个次要的糖基化位点。
正常受试者和高血糖糖尿病患者血浆VLDL中的糖化水平较高(2-3倍)。
磷酸化位点存在于细胞外培养基中。
疾病:
载脂蛋白E缺陷是导致3型高脂蛋白血症(HLPP3)的原因[MIM:107741];也被称为家族性β脂蛋白异常症。HLPP3患者的临床特征是黄质瘤,掌部折痕处有黄色脂质沉积,肌腱和肘部则不那么特异。这种疾病很少在第三个十年前在男性身上出现。在妇女中,通常只在绝经后表达。绝大多数患者是apoE*2等位基因纯合子。在罕见APOE变异的杂合子个体中也观察到更严重的HLPP3病例。载脂蛋白E对脂质水平的影响常被认为对冠状动脉疾病(CAD)的风险有重要影响。携带常见APOE*4变异的个体患冠心病的风险更高。
本产品仅用于研究用途,不用于人类、治疗或诊断应用。
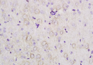
组织/细胞:大鼠脑组织;4%多聚甲醛固定石蜡包埋;
抗原提取:柠檬酸缓冲液(0.01M,pH 6),15min煮沸,用3%过氧化氢阻断内源性过氧化物酶30min;37℃下阻断缓冲液(正常山羊血清)20 min;
孵育:抗apoe3多克隆抗体,未结合1:200,4°C下过夜,然后与二级抗体(SP-0023)结合,DAB染色。
重要注意事项:
本产品仅用于研究用途,不用于人类、治疗或诊断应用。
公司优势:
1)质量:我司提供的的试剂为世界
2)价格:价格实惠,量大从优。
4)服务:提供完整的售前、售后和售中服务。售后到底
如需订购载脂蛋白E3抗体(APOE3),请联系我们。
Anti-C-PC(c-phycocyanin ) C-藻蓝素/藻蓝蛋白抗体 |
Anti-C-Peptide( C-PEP ) C-肽 |
Anti-CR (Calretinin) 钙结合蛋白抗体 |
Anti-C-reactive protin CRP C-反应蛋白抗体 |
Anti-C-CRP(Mouse Anti-Human reactive protin CRP Antibody) 鼠抗人C-反应蛋白单克隆抗体 |
Anti-CREB-1(cAMP responsive element binding protein-1) 环腺苷酸应答元件结合蛋白抗体 |
Anti-CREB-1(cAMP responsive element binding protein-1) 环腺苷酸应答元件结合蛋白抗体 |
Anti-P-CREB-1(p-cAMP responsive element binding protein-1) 磷酸化环腺苷酸应答元件结合蛋白抗体 |
Anti-CRF (Corticotropin-Releasing Factor) 促肾上腺皮质激素释放因子 |
Anti-CRF (Corticotropin-Releasing Factor) 促肾上腺皮质激素释放因子 |