英文名称:Anti-BMP1
中文名称:骨形态发生蛋白1/胶原C蛋白肽链内切酶抗体
抗体来源:兔子
克隆类型:多克隆
交叉反应:人、小鼠、大鼠、狗、猪、牛、马、兔子
产品应用:WB=1:500-2000 ELISA=1:500-1000 IHC-P=1:100-500 IHC-F=1:100-500 IF=1:100-500(石蜡切片需做抗原修复)
分 子 量:98kDa
细胞定位:细胞浆 细胞外基质 分泌型蛋白
状态:冻干或液体
浓度:1mg/ml
来源于:KLH conjugated synthetic peptide derived from human BMP1:901-986/986
亚型:IgG
纯化方法:affinity purified by Protein A
储存液:0.01M TBS(pH7.4) with 1% BSA, 0.03% Proclin300 and 50% Glycerol.
别 名:BMP 1; BMP-1; Bone morphogenetic protein 1; Mammalian tolloid protein; mTld; PCOLC; PCP; ProCollagen C endopeptidase; Procollagen C proteinase; TLD; BMP1_HUMAN.
保存条件:在-20°C下保存一年。避免反复冻融。冻干抗体在室温下至少稳定一个月,并在-20°C下保持一年以上。当在无菌pH7.4 0.01M PBS或抗体稀释剂中重组时,抗体在2-4°C下至少稳定两周。
产品介绍:
骨形态发生蛋白1(BMP1)首先在骨的成骨提取物中被鉴定出来。是一种细胞外锌内肽酶,与多种物种的形态发生过程有关。BMP1是一个司他星金属蛋白酶家族的成员。阿他星家族包括bmp1、阿他星、美林A和B、tolloid样蛋白和脉络膜蛋白。bmp1参与细胞外基质(ECM)的形成,这表明在生长过程中,虾青素金属蛋白酶、生长因子以及细胞分化和模式形成之间可能存在功能联系。PCP这个名称反映了这种酶参与生长中的骨骼胶原沉积。被称为前胶原C和N蛋白酶(PCP和PNP)的酶参与了纤维原胶原前体的加工,使其成熟,这是纤维形成的必要条件。PCP从原胶原中切割C端,形成成熟的三联胶原。N端被前胶原N-蛋白酶(PNP或Adam-TS2)切割。PNP的缺陷与皮肤病性皮肤病有关,BMP1的缺陷被认为会导致异常的胶原加工和结缔组织疾病。许多形式的bmp1已经被报道,在c-末端有不同的截断。长形的bmp1与tolloid样蛋白相似,后者具有额外的egf样和cub结构域。
功能:
分解前胶原I、II和III的C端特性,诱导软骨和骨形成。在早期发育过程中,可通过切割脊索蛋白(CHRD)参与背静脉模式。
组织特异性:
无处不在的。
相似性:
属于肽酶M12A家族。包含5个立方域。包含2个类EGF域。
重要提示:
本产品仅用于研究用途,不用于人类、治疗或诊断应用
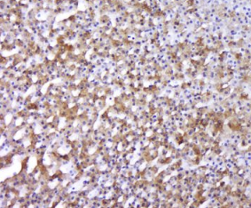
组织/细胞:大鼠肾上腺;4%多聚甲醛固定石蜡包埋;
抗原提取:柠檬酸缓冲液(0.01M,pH 6),15min煮沸,用3%过氧化氢阻断内源性过氧化物酶30min;37℃下阻断缓冲液(正常山羊血清)20 min;
孵育:抗BMP1多克隆抗体,未结合1:500,在4°C下过夜,然后与二级抗体结合,DAB染色。
公司优势:
1)质量:我司提供的的试剂为世界。
2)价格:价格实惠,量大从优。
4)服务:提供完整的售前、售后和售中服务。售后到底。
如需订购骨形态发生蛋白1/胶原C蛋白肽链内切酶抗体,请联系我们。
Anti-MAPK1/ERK3 (Mitogen-activated protein kinase 3; P44MAPK) 丝裂原活化蛋白激酶3抗体 |
Anti-ER-α(Estrogen) 雌激素受体抗体 |
Anti-ER-α(Estrogen) 雌激素受体α抗体 |
Anti-ER-α/β Estrpgen Receptor α/β 雌激素受体α/β抗体 |
Anti-ER-β (Estrogen receptor-β) 雌激素受体β 抗体 |