英文名称:Anti-BRD7
中文名称:鼻咽癌相关转录调节蛋白抗体(BRD7)
抗体来源:兔子
克隆类型:多克隆
交叉反应:人、小鼠、大鼠、狗、猪、牛、兔、羊
产品应用:ELISA=1:500-1000 IHC-P=1:100-500 IHC-F=1:100-500 IF=1:100-500(石蜡切片需做抗原修复)
分 子 量:74kDa
细胞定位:细胞核
状态:冻干或液体
浓度:1mg/ml
来源于:KLH conjugated synthetic peptide derived from human BRD7:401-500/651
亚型:IgG
纯化方法:affinity purified by Protein A
储存液:0.01M TBS(pH7.4) with 1% BSA, 0.03% Proclin300 and 50% Glycerol.
别 名:75 kDa bromodomain protein; BP75; BRD 7; BRD7; BRD7_HUMAN; Bromodomain containing 7; bromodomain containing protein 7; Bromodomain-containing protein 7; CELTIX 1; CELTIX1; NAG4; Protein CELTIX-1.
保存条件:在-20°C下保存一年。避免反复冻融。冻干抗体在室温下至少稳定一个月,并在-20°C下保持一年以上。当在无菌pH7.4 0.01M PBS或抗体稀释剂中重组时,抗体在2-4°C下至少稳定两周。
产品介绍:
该基因编码一种蛋白质,该蛋白质属于含溴域的蛋白质家族。该基因的产物被鉴定为Swi/Snf染色质重塑复合物的一种形式的组成部分,并被鉴定为一种与p53相互作用的蛋白质,是p53依赖性癌基因诱导的阻止肿瘤生长的衰老所必需的。假基因在染色体2、3、6、13和14上有描述。选择性剪接导致多个转录变体。
功能:
同时作为协同激活剂和共压器。可能在染色质重塑中起作用。通过负性调节GSK3b磷酸转移酶活性以dvl1依赖性方式激活Wnt信号通路。在“Tyr-216”诱导GSK3b去磷酸化。通过AR下调Trim24介导的转录激活(通过相似性)。下调靶基因表达的转录辅压因子。结合目标启动子,导致组蛋白H3乙酰化在'Lys-9'(H3K9AC)增加。与ESR1启动子结合。招募BRCA1和POU2F1到ESR1启动子。TP53介导的一组靶基因转录激活因子。在癌基因激活的反应中,TP53介导的细胞周期停滞是必需的。促进“Lys-382”处TP53的乙酰化,从而促进目标启动子有效招募TP53。抑制细胞周期从G1期向S期的进展。
子单元:
与trim24、ptpn13和dvl1相互作用。在一个含有Smarc4/Brg1、Smarc1/Baf155、Smarc1/Baf57、DPF2/Baf45d和ARID2的复合体中鉴定,这些复合体是Swi/Snf-B(PBAF)染色质重塑复合体的亚基(通过相似性)。与IRF2和hnrpul1相互作用。(通过N端)与TP53相互作用。与EP300相互作用(通过C端)。与BRCA1相互作用。(通过溴域)与在'lys-14'(h3k14ac)乙酰化的组蛋白H3(通过N端)相互作用。对在'lys-9'(h3k9ac)乙酰化的组蛋白H3具有低亲和力。对“Lys-9”(H3K9AC)和“Lys-14”(H3K14AC)乙酰化的组蛋白H3具有亲和力。对非乙酰化组蛋白H3的亲和力很低。(通过溴域)与在'lys-8'(h3k8ac)乙酰化的组蛋白h4(通过N端)相互作用(体外)。
重要提示:
本产品仅用于研究用途,不用于人类、治疗或诊断应用
BRD7可能参与了基因转录调控,是一个核转录调节蛋白。经研究发现BRD7可能是通过Ras/MEK/ERK和Rb/E2F两条通路影响细胞周期的进程,使细胞停滞于G0/G1期,BRD7具有阻止细胞周期进程的作用。BRD7蛋白尤其是在鼻咽癌的发病过程中发挥了十分重要作用,BRD7基因的过表达可通过调节MAPK及Wnt信号通路抑制鼻咽癌的生长,并将鼻咽癌阻滞在G1/S期。
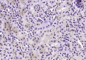
多聚甲醛固定,石蜡包埋(小鼠肾组织);用柠檬酸钠缓冲液(pH6.0)煮沸15min提取抗原;用3%过氧化氢阻断内源过氧化物酶20分钟;阻断缓冲液(正常山羊血清)37℃30min;用BRD7多聚体抗体孵育未结合的克隆抗体在1:200在4°C下过夜,然后根据SP试剂盒(兔子)说明和DAB染色进行操作。
公司优势:
1)质量:我司提供的的试剂为世界。
2)价格:价格实惠,量大从优。
4)服务:提供完整的售前、售后和售中服务。售后到底。
如需订购鼻咽癌相关转录调节蛋白抗体(BRD7),请联系我们。
Anti-EphB2 R (Ephrin B2 Receptor) 酪氨酸蛋白激酶受体B2抗体 |
Anti-ER 雌激素受体 |
Anti-ERAB 内质网Aβ相关结合蛋白抗体 |
Anti-ERK2/ERK (MAPK-1/2,MAPK-α ,ERK2,MAPK1,MAPK2, p42MAPK) 丝裂原活化蛋白激酶1/2抗体 |