英文名称:Anti-ALDH1A1
中文名称:乙醛脱氢酶1型抗体(ALDH1A1)
抗体来源:兔
克隆类型:多克隆
交叉反应:人、大鼠、小鼠、牛、马、兔、羊
产品应用:WB=1:500-2000 ELISA=1:500-1000 IHC-P=1:400-800 IHC-F=1:400-800 ICC=1:100-500 IF=1:100-500(石蜡切片需做抗原修复)
尚未在其他应用程序中测试。
用户终应确定合适稀释浓度。
分子量:54kDa
细胞定位:细胞浆
状态:冻干或液体
浓度:1mg/ml
来源于:KLH conjugated synthetic peptide derived from human ALDH1:201-300/501
亚型:IgG
纯化方法:affinity purified by Protein A
储存液:0.01M TBS(pH7.4) with 1% BSA, 0.03% Proclin300 and 50% Glycerol.
别 名:cytosolic; Acetaldehyde dehydrogenase 1; AHD2; Ahd-2; AL1A1_HUMAN; ALDC; Aldehyde dehydrogenase 1 family member A1; Aldehyde dehydrogenase 1 soluble; Aldehyde dehydrogenase 1A1; Aldehyde Dehydrogenase; Aldehyde dehydrogenase cytosolic; Aldehyde dehydrogenase family 1 member A1; Aldehyde dehydrogenase liver cytosolic; ALDH 1; ALDH 1A1; ALDH class 1; ALDH-E1; ALDH1 A1; ALDH1; ALDH11; ALHDII; MGC2318; PUMB1; RALDH 1; RalDH1; Retinal dehydrogenase 1; ALDEHYDE DEHYDROGENASE A1; Aldehyde Dehydrogenase Family 1, Subfamily A1.
保存条件:在-20°C下保存一年。避免重复冻融循环。冻干抗体在室温下至少稳定一个月,并在-20°C下保持一年以上。当在无菌pH7.4 0.01M PBS或抗体稀释剂中重组时,抗体在2-4°C下至少稳定两周。
产品介绍
该蛋白属于蛋白质的醛脱氢酶家族。醛脱氢酶是乙醇代谢主要氧化途径的第二种酶。这种酶的两种主要肝亚型,即细胞溶质和线粒体,可以通过其电泳迁移率、动力学特性和亚细胞定位来区分。大多数白种人有两个主要的同工酶,而大约50%的东方人只有胞质同工酶,缺少线粒体同工酶。东方人急性酒精中毒的频率明显高于白种人,这可能与线粒体同工酶的缺失有关。这个基因编码一种对醛类有高度亲和力的胞质亚型。[由RefSeq提供]
功能:
结合游离视网膜和细胞视网膜结合蛋白结合视网膜。可将视网膜醛转化/氧化为视黄酸。
Subunit:
同聚二聚体
亚细胞位置:
细胞质。
组织特异性:
在肝、肺和睾丸中表达。显然在肾脏、胃、卵巢、心脏和大脑中未检测到表达。
相似性:
属于醛脱氢酶家族。
本产品仅用于研究用途,不用于人类、治疗或诊断应用。
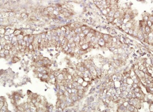
多聚甲醛固定,石蜡包埋(人肺癌);用柠檬酸钠缓冲液(pH6.0)煮沸15min后获得抗原;用3%过氧化氢阻断内源性过氧化物酶20分钟;在37℃下封闭缓冲液(正常山羊血清)30min;在1∶400 O下用(ALDH1)多克隆抗体进行抗体孵育。在4°C下观察,然后用共轭二次进行20分钟的DAB染色。
重要注意事项:
本产品仅用于研究用途,不用于人类、治疗或诊断应用。
公司优势:
1)质量:我司提供的的试剂为世界
2)价格:价格实惠,量大从优。
4)服务:提供完整的售前、售后和售中服务。售后到底
如需订购乙醛脱氢酶1型抗体(ALDH1A1),请联系我们。
Anti-Dnmt3β (DNA (cytosine-5)-methyltransferase 3 β) DNA甲基转移酶-3β抗体 |
Anti-DPPA2 (developmental pluripotency associated gene2) 多能发育相关基因2抗体 |
Anti-DR3/TNF-αR/TRAMP (death receptor 3) TNF-α膜受体抗体/DR3 死亡受体3抗体 |
Anti-DR4/APO2/TRAILR1 (Death receptor 4) 死亡受体4抗体 |
Anti-DTNBP1 (Dysbindin-1) 精神分裂症易感基因抗体 |
Anti-DVL1 (dishevelled 1) 蓬乱蛋白1抗体 |
Anti-Dynamin 2(Mouse Anti-Human Dynamin-2 Monoclonal Antibody) 鼠抗人鸟苷三磷酸酶-发动蛋白2单克隆抗体 |
Anti-Dynamin 2(Anti-Human Dynamin-2 ) 兔抗人鸟苷三磷酸酶-发动蛋白2抗体 |