英文名称:Anti-ACE2
中文名称:血管紧张素转换酶2抗体(ACE2)
抗体来源:兔子
克隆类型:多克隆
交叉反应:人、大鼠、小鼠、狗、猪、羊
产品应用:ELISA=1:500-1000 IHC-P=1:400-800 IHC-F=1:400-800 Flow-Cyt=1μg /test. ICC=1:100-500 IF=1:100-500(石蜡切片需做抗原修复)
尚未在其他应用程序中测试。
用户终应确定合适稀释浓度。
分子量:87kDa
细胞定位:细胞膜 分泌型蛋白
状态:冻干或液体
浓度:1mg/ml
来源于:KLH conjugated synthetic peptide derived from human ACE2:601-700/805 <Extracellular>
亚型:IgG
纯化方法:affinity purified by Protein A
储存液:0.01M TBS(pH7.4) with 1% BSA, 0.03% Proclin300 and 50% Glycerol.
别 名:ACE-2; ACE 2; Angiotensin converting enzyme 2; ACE related carboxypeptidase; ACEH; Angiotensin converting enzyme homolog; Angiotensin converting enzyme like protein; Angiotensin I Converting Enzyme (peptidyl dipeptidase A) 2; Angiotensin I converting enzyme 2; DKFZP434A014; EC 3.4.17; OTTHUMP00000022963; angiotensin-converting enzyme 2 precursor; ACE2_HUMAN; Angiotensin-converting enzyme 2; ACE-related carboxypeptidase; Angiotensin-converting enzyme homolog; Metalloprotease MPROT15; Processed angiotensin-converting enzyme 2.
保存条件:在-20°C下保存一年。避免重复冻融循环。冻干抗体在室温下至少稳定一个月,并在-20°C下保持一年以上。当在无菌pH7.4 0.01M PBS或抗体稀释剂中重组时,抗体在2-4°C下至少稳定两周。
产品介绍
该基因编码的蛋白属于二肽基羧基二肽酶的血管紧张素转换酶家族,与人血管紧张素1转换酶具有相当的同源性。这种分泌蛋白催化血管紧张素I分解为血管紧张素1-9和血管紧张素II分解为血管扩张剂血管紧张素1-7。该基因的器官和细胞特异性表达表明,它可能在心血管和肾功能以及生育能力的调节中发挥作用。此外,编码蛋白是人类冠状病毒sars和hcov-nl63的尖峰糖蛋白的功能性受体。[由RefSeq提供,2008年7月]。
功能:
将血管紧张素I转化为血管紧张素1-9(一种功能未知的肽)的羧肽酶,以及将血管紧张素II转化为血管扩张剂血管紧张素1-7的羧肽酶。能高效水解apelin-13和dynorphin-13。可能是心脏功能的重要调节器。在人类冠状病毒SARS和HCOV-NL63感染的情况下,作为两种冠状病毒峰值糖蛋白的功能性受体。
Subunit:
与ITGB1交互。与sars-cov和hcov-nl63 Spike糖蛋白相互作用。
亚细胞位置:
处理过的血管紧张素转换酶2:分泌。
细胞膜;单通道I型膜蛋白。
组织特异性:
在大、小动脉内皮细胞和动脉平滑肌细胞中表达。表达于肺泡上皮细胞、小肠肠细胞、leydig细胞和sertoli细胞(蛋白水平)。在心脏、肾脏、睾丸和胃肠系统中表达。
翻译后修改:
ASN-90的N-糖基化可能限制非典型肺炎的传染性。
ADAM17蛋白水解酶产生一种分泌形式。
属于肽酶M2家族。
相似性:
属于肽酶M2家族。
重要注意事项:
合成与降解(Synthesis and Degradation)
ACE-2的分布范围比较局限,ACE2主要在心脏、肾脏、睾丸中表达显著, 近来人们发现ACE2也分布在胃肠道、脑和肺脏中。
有关学者在研究心脏和肾脏中发现,ACE2在心肌缺血、肾功能衰竭、动脉粥样硬化和糖尿病并发症中,ACE2对血管紧张素产生和降解过程中有一定的生理作用。
特别是对ACE2在具有生理活性的-活性肽产生过程中的作用更值得进一步研究。 ACE2的发现为心血管病和肾脏病研究开辟了新天地,并提供了新的治疗靶点,可能导致未来心血管疾病治疗策略的改变。
本产品仅用于研究用途,不用于人类、治疗或诊断应用。
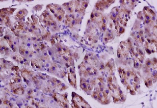
组织/细胞:大鼠胰腺组织;4%多聚甲醛固定石蜡包埋;
抗原提取:柠檬酸缓冲液(0.01M,pH 6),15min煮沸,用3%过氧化氢阻断内源性过氧化物酶30min;37℃下阻断缓冲液(正常山羊血清)20 min;
孵育:抗Ace2多克隆抗体,未结合(BS-1004R)1:200,在4°C下过夜,然后接合二级抗体和DAB染色。
公司优势:
1)质量:我司提供的的试剂为世界。
2)价格:价格实惠,量大从优。
4)服务:提供完整的售前、售后和售中服务。售后到底。
如需订购血管紧张素转换酶2抗体(ACE2),请联系我们。
Anti-OAT4L/URAT1 (Urate Transporter 1) 尿酸盐重吸收转运子1抗体 |
Anti-OCT1 (organic cat-ion transporter1) 阳离子转运器1抗体 |
Anti-OCT2 (organic cat-ion transporter2) B细胞特异性转录因子抗体 |
Anti-Oct-4 antibody 胚胎干细胞关键蛋白抗体 |
anti-ODC(Ornithine decarboxylase) 抗鸟氨酸脱羧酶抗体 |
Anti-Omgp (olyigodendrocyte myelin glycoprotein) 少突细胞髓磷脂糖蛋白抗体 |