英文名称:Anti-bFGF
中文名称:碱性成纤维细胞生长因子/FGF2抗体
抗体来源:兔子
克隆类型:多克隆
交叉反应:人、小鼠、大鼠、鸡、牛、兔、羊
产品应用:WB=1:500-2000 ELISA=1:500-1000 IHC-P=1:100-500 IHC-F=1:100-500 Flow-Cyt=1μg/Test IF=1:100-500(石蜡切片需做抗原修复)
分 子 量:18kDa
细胞定位:细胞核 分泌型蛋白
状态:冻干或液体
浓度:1mg/ml
来源于:KLH conjugated synthetic peptide derived from human bFGF:143-250/288
亚型:IgG
纯化方法:affinity purified by Protein A
储存液:0.01M TBS(pH7.4) with 1% BSA, 0.03% Proclin300 and 50% Glycerol.
别 名:Basic fibroblast growth factor; FGF basic; FGF-basic; BFGF; FGF-2; FGF B; FGF2; FGF2 basic; FGFB; Fibroblast growth factor 2 (basic); HBGF 2; HBGF-2; HBGF2; HBGH 2; HBGH2; Heparin binding growth factor 2 precursor; Prostatropin; FGF2_HUMAN.
保存条件:在-20°C下保存一年。避免反复冻融。冻干抗体在室温下至少稳定一个月,并在-20°C下保持一年以上。当在无菌pH7.4 0.01M PBS或抗体稀释剂中重组时,抗体在2-4°C下至少稳定两周。
产品介绍:
该基因编码的蛋白是成纤维细胞生长因子家族的成员。FGF家族成员结合肝素,具有广泛的促有丝分裂和血管生成活性。这种蛋白与多种生物学过程有关,如肢体和神经系统发育、伤口愈合和肿瘤生长。该基因的mRNA包含多个多聚腺苷酸化位点,并且可以从非AUG(CUG)和AUG起始密码子中选择性地翻译,从而产生五种具有不同性质的不同亚型。CUG启动的亚型局限于核内并负责内分泌作用,而AUG启动的亚型主要是细胞溶质,负责该FGF的旁分泌和自分泌作用。[由RefSeq提供,2008年7月]。
功能:
在细胞存活、细胞分裂、血管生成、细胞分化和细胞迁移的调控中起着重要作用。在体外作为有效的有丝分裂原发挥作用。
子单元:
单体。同二聚体。与fgfr1、fgfr2、fgfr3和fgfr4相互作用。成纤维细胞生长因子(fgfs)与其受体之间的亲和力被作为共受体的硫酸肝素糖胺聚糖所增强。与cspg4、fgfbp1和tec相互作用。在与fgfbp1、fgf1和fgf2的复合物中发现。
亚细胞位置:
秘密的。原子核。注=通过内质网(ER)/高尔基体独立机制从细胞中导出。FGF2的非常规分泌通过质膜直接易位发生。外源性fgf2与fgfr的结合促进了内吞作用,随后fgf2通过内质膜转移到胞质溶胶中。从胞质溶胶中导入核需要经典的核导入机制,包括蛋白质kpna1和kpnb1以及cep57。
组织特异性:
在颗粒细胞和卵丘细胞中表达。在肝细胞癌细胞中表达,但在非癌性肝组织中不表达。
翻译后修改:
Tyr-215处的磷酸化调节FGF2非常规分泌。
从94、125、126、132、143和162位开始的几个N端已经通过直接测序确定。
相似性:
属于肝素结合生长因子家族。
重要提示:
本产品仅用于研究用途,不用于人类、治疗或诊断应用
生长因子和激素( Growth Factor and Hormones)
(b-FGF)主要分布于垂体、脑和神经组织及视网膜、肾上腺、胎盘等。
FGF2(basic fibroblast growth factor)碱性成纤维细胞生长因子是由内皮细胞及平滑肌细胞合成并对合成细胞有促分裂效应的多肽分子,具有强烈的血管生成作用,参与血管生成、组织修复、神经系统的发育等 。FGF2在体外,能刺激细胞增殖,细胞迁移,诱导纤溶酶原激活物及胶原酶活性。是能与肝素结合的促分裂剂。
FGF家族参与一系列重要的生理功能:胚胎发育、细胞生长、组织的修复、器官的形成、肿瘤的浸润和生长等。
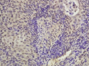
组织/细胞:人宫颈癌组织;4%多聚甲醛固定石蜡包埋;
抗原提取:柠檬酸缓冲液(0.01M,pH 6),15min煮沸,用3%过氧化氢阻断内源性过氧化物酶30min;37℃下阻断缓冲液(正常山羊血清)20 min;
孵育:抗bfgf多克隆抗体,未结合1:200,在4°C下过夜,然后与二级抗体结合,DAB染色。
公司优势:
1)质量:我司提供的的试剂为世界。
2)价格:价格实惠,量大从优。
4)服务:提供完整的售前、售后和售中服务。售后到底。
如需订购碱性成纤维细胞生长因子/FGF2抗体,请联系我们。
Anti-Collagen Ⅳ(Anti-Collagen Type Ⅳ) 抗IV型胶原抗体(Collagen Ⅳ Ⅳ 型胶原) |
Anti-Collagen Ⅵ(Collagen Type Ⅵ) 抗Ⅵ型胶原抗体 |
Anti-Collagen I(Anti-Collagen Type I) 抗I型胶原抗体(I型胶原) |
Anti-CollagenⅤ(Anti-Collagen Type Ⅴ) 抗Ⅴ型胶原抗体(CollagenⅤ Ⅴ型胶原) |