您的位置: 网站首页 >> 产品中心 >> >> 抗体 > 乳腺癌转移抑制基因1抗体(BRMS1)
产品名称:

乳腺癌转移抑制基因1抗体(BRMS1)

产品型号: 产品时间: 2023-03-08
乳腺癌转移抑制因子1(BRMS1)是一种246氨基酸蛋白,在卵巢、肺、膀胱和小鼠乳腺等多种癌症中起到抑制转移的中介作用。乳腺癌转移抑制基因1抗体(BRMS1) mRNA在卵巢、前列腺、睾丸和结肠等不同组织中表达,但主要在足月胎盘中检测到。BRMS1通过改变几种转移相关表型来抑制转移而不抑制肿瘤发生。BRMS1可能通过结合msin3/组蛋白脱乙酰基酶复合物参与转录调控。

产品概述

英文名称:Anti-BRMS1​

中文名称:乳腺癌转移抑制基因1抗体(BRMS1)

抗体来源:兔子

克隆类型:多克隆

交叉反应:人、小鼠、大鼠、狗、猪、马​​

产品应用:WB=1:500-2000 ELISA=1:500-1000 IHC-P=1:100-500 IHC-F=1:100-500 ICC=1:100-500 IF=1:100-500(石蜡切片需做抗原修复)

分  子 量:28kDa

​细胞定位:细胞核 细胞浆

状态:冻干或液体

浓度:1mg/ml

来源于:KLH conjugated synthetic peptide derived from human BRMS1:151-246/246

亚型:IgG

纯化方法:affinity purified by Protein A

储存液:0.01M TBS(pH7.4) with 1% BSA, 0.03% Proclin300 and 50% Glycerol.

别    名:Breast cancer metastasis suppressor 1; Breast cancer metastasis-suppressor 1; BRMS-1; BRMS1_HUMAN; DKFZp564A063; MGC95128; AV003220; AW554636.

保存条件:在-20°C下保存一年。避免反复冻融。冻干抗体在室温下至少稳定一个月,并在-20°C下保持一年以上。当在无菌pH7.4 0.01M PBS或抗体稀释剂中重组时,抗体在2-4°C下至少稳定两周。

 

​产品介绍:

乳腺癌转移抑制因子1(BRMS1)是一种246氨基酸蛋白,在卵巢、肺、膀胱和小鼠乳腺等多种癌症中起到抑制转移的中介作用。BRMS1 mRNA在卵巢、前列腺、睾丸和结肠等不同组织中表达,但主要在足月胎盘中检测到。BRMS1通过改变几种转移相关表型来抑制转移而不抑制肿瘤发生。BRMS1可能通过结合msin3/组蛋白脱乙酰基酶复合物参与转录调控。BRMS1在某些细胞中的表达增加了连接蛋白CX43的表达,降低了连接蛋白CX32的表达。这会产生一个间隙连接,增加细胞间通讯,类似于在正常乳腺组织中发现的。BRMS1被hsp90稳定,可能抑制NF-_b活性。

 

功能:

转录抑制因子。通过促进“lys-310”处rela的去乙酰化,下调nf-kappa-b的转录激活。促进hdac1与启动子区域的结合。下调由NF-kappa-b控制的抗凋亡基因的表达。促进与底物(一种称为anoikis的过程)粘附不足的细胞凋亡,从而抑制转移。可能是乳腺癌转移抑制的介质。

 

子单元:

属于BRMS1家族。

 

亚细胞位置:

原子核。细胞质。主要是核。

 

组织特异性:

足月胎盘的表达水平高于早期胎盘。在正常妊娠和葡萄胎妊娠中观察到低表达。

 

相似性:

属于BRMS1家族。

 

重要提示:

本产品仅用于研究用途,不用于人类、治疗或诊断应用

​​

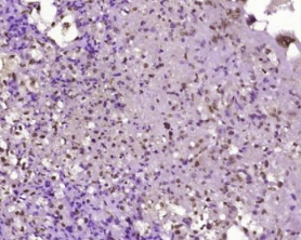
多聚甲醛固定,石蜡包埋(小鼠胎盘);经柠檬酸钠缓冲液(pH6.0)煮沸15min后获得抗原;用3%过氧化氢阻断内源过氧化物酶20分钟;阻断缓冲液(正常山羊血清)37℃30min;用BRMS1多克隆抗体进行抗体孵育L抗体,未结合,1:400,4°C下过夜,然后根据SP试剂盒(兔子)说明和DAB染色进行操作。

公司优势:
1)质量:我司提供的的试剂为世界。
2)价格:价格实惠,量大从优。
4)服务:提供完整的售前、售后和售中服务。售后到底。

如需订购乳腺癌转移抑制基因1抗体(BRMS1)​​​​​​​,请联系我们。

Anti-hTRT  Telomerase catalytic subunit(TE)  端粒酶抗体(催化亚单位)
Anti-Human serumAnti-Human serum  兔抗人血清抗体抗血清
Anti-Hydroxyethyk staYTh/HES Anti-hydroxyethyk staYTh/HES  羟乙基淀粉抗体
Anti-Hypothetical protein (LOC55652)  hypothetical protein抗体
anti-IAA(Indole-3-Acetic Acid)  吲哚-3-乙酸抗体/植物生长素抗体
anti-IAA(Indole-3-Acetic Acid)  吲哚-3-乙酸抗体/植物生长素单克隆抗体

留言框

  • 产品:

  • 您的单位:

  • 您的姓名:

  • 联系电话:

  • 常用邮箱:

  • 省份:

  • 详细地址:

  • 补充说明:

  • 验证码:

    请输入计算结果(填写阿拉伯数字),如:三加四=7
分享到:
版权所有©2019 上海晅科生物科技有限公司 备案号:京ICP证000000号
  • 扫一扫,关注我们