英文名称:Anti-FANCB/BRCA2
中文名称:乳腺癌易感基因2抗体(BRCA2)
抗体来源:兔子
克隆类型:多克隆
交叉反应:人、小鼠、大鼠、鸡、狗、牛、马、兔子
产品应用:WB=1:500-2000 ELISA=1:500-1000 IHC-P=1:100-500 IHC-F=1:100-500 IF=1:100-500(石蜡切片需做抗原修复)
分 子 量:384kDa
细胞定位:细胞核
状态:冻干或液体
浓度:1mg/ml
来源于:KLH conjugated synthetic peptide derived from human BRCA2:21-130/3418
亚型:IgG
纯化方法:affinity purified by Protein A
储存液:0.01M TBS(pH7.4) with 1% BSA, 0.03% Proclin300 and 50% Glycerol.
别 名:BRCA 2; BRCA1/BRCA2 containing complex subunit 2; BRCC 2; BRCC2; Breast and ovarian cancer susceptibility gene early onset; Breast cancer 2 early onset; Breast Cancer 2 tumor suppressor; Breast cancer susceptibility protein BRCA2; Breast cancer type 2 susceptibility protein; FACD; FAD 1; FAD; FAD1; FANCB; FANCD 1; FANCD; FANCD1; Fanconi anemia complementation group D1; Fanconi anemia group D1 protein; OTTHUMP00000018803; OTTHUMP00000042401.
保存条件:在-20°C下保存一年。避免反复冻融。冻干抗体在室温下至少稳定一个月,并在-20°C下保持一年以上。当在无菌pH7.4 0.01M PBS或抗体稀释剂中重组时,抗体在2-4°C下至少稳定两周。
产品介绍:
参与双链断裂修复和/或同源重组。结合RAD51并通过促进RAD51组装到单链DNA(ssdna)上增强重组DNA修复。作用是通过双链DNA将Rad51定位到ssdna,使Rad51能够取代ssdna中的复制蛋白A(rpa),并通过阻断ATP水解来稳定Rad51 ssdna丝。可以参与S阶段检查点激活。选择性地绑定到ssdna,并在尾双工和复制分叉结构中绑定到ssdna。与NPM1*,调节中心体复制。
子单元:
单体和二聚体。与RAD51相互作用;调节RAD51的募集和DNA修复部位的功能。与DSS1交互。与非泛素化和单泛素化FANCD2相互作用;该复合物还包括xrc3和磷酸化FANCG。与WDR16交互。与USP11相互作用。与DMC1交互。包含BRCA1、BRCA2和PALB2的三聚体复合体的一部分。与palb2相互作用。仅在作为桥接蛋白的palb2存在时与brca1相互作用。与Rock2和NPM1相互作用。
亚细胞位置:
核蛋白。
组织特异性:
乳腺和胸腺的表达水平,肺、卵巢和脾脏的表达水平稍低。
翻译后修改:
在辐射诱导的DNA损伤中被atm磷酸化。Chek1和Chek2的磷酸化调节与Rad51的相互作用。当重组活跃时,CDK1和CDK2在SER-3291处的磷酸化在S期较低,但随着细胞向有丝分裂的进展而增加;这种磷酸化通过抑制RAD51结合来防止S期和G2期同源重组依赖性修复。
在没有DNA损伤的情况下泛素化;这不会导致蛋白酶体降解。相反,对DNA损伤的泛素化导致蛋白酶体降解。
疾病:
BRCA2缺陷是乳腺癌(BC)易感性的原因。源自乳腺上皮组织的常见恶性肿瘤。乳腺肿瘤可以通过其组织学模式来区分。浸润性导管癌是目前较常见的类型。乳腺癌的病因和遗传多样性。重要的遗传因素已表明家庭发生和双边参与。多个基因座的突变可能涉及不同的家族,甚至在同一个病例中。BRCA2缺陷是胰腺癌2型(PNCA2)的病因[MIM:613347]。是胰腺的恶性肿瘤。肿瘤可以同时来自胰腺的外分泌和内分泌部分,但95%的肿瘤都来自外分泌部分,包括导管上皮、腺泡细胞、结缔组织和淋巴组织。
相似性:
包含8个BRCA2重复。
重要提示:
本产品仅用于研究用途,不用于人类、治疗或诊断应用
BRCA2蛋白与DNA修复和重组有关, 乳腺癌易感基因其突变和家族性乳腺癌、卵巢癌的发病有关。
BRCA2是新近发现的一个抑癌基因,它在流行病学上与早期发现的BRCA1有许多相似之处。有学者发现:BRCA2在其它BRCA2突变的家族中也发现多发有结肠癌、肺癌、输尿管癌、脑瘤、胰腺癌和白血病等。BRCA2突变家族中这种肿瘤的多样性在其它研究中也有报道。
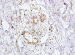
组织/细胞:人乳腺癌;4%多聚甲醛固定石蜡包埋;
抗原提取:柠檬酸缓冲液(0.01M,pH 6),15min煮沸,用3%过氧化氢阻断内源性过氧化物酶30min;37℃下阻断缓冲液(正常山羊血清)20 min;
孵育:抗-BRCA2/FANCB多克隆抗体,未结合1:200,在4°C下过夜,然后与二级抗体结合,DAB染色。
公司优势:
1)质量:我司提供的的试剂为世界。
2)价格:价格实惠,量大从优。
4)服务:提供完整的售前、售后和售中服务。售后到底。
如需订购乳腺癌易感基因2抗体(BRCA2),请联系我们。
Anti-Mfn1 (Mitofusin1) 线粒体融合蛋白1抗体 |
Anti-MGMT (O6-methylguanine-DNA methyltransferase) O6甲基鸟嘌呤DNA甲基转移酶抗体 |
anti-MT(metallothionein) 金属基质硫蛋白抗体 |
anti-MGr1-Ag/37LRP(P37-kDa laminin receptor precursor)(NT) 层粘连蛋白受体1抗体(N端) |
anti-MGr1-Ag/37LRP(P37-kDa laminin receptor precursor)(CT) 层粘连蛋白受体1抗体(C端) |