英文名称:Anti-Adiponectin receptor 2
中文名称:脂联素受体2抗体
抗体来源:兔
克隆类型:多克隆
交叉反应:
产品应用:WB=1:500-2000 ELISA=1:500-1000 IHC-P=1:400-800 IHC-F=1:400-800 Flow-Cyt=1μg /test IF=1:100-500(石蜡切片需做抗原修复)
尚未在其他应用程序中测试。
用户终应确定合适稀释浓度。
分子量:44kDa
细胞定位:细胞膜
状态:冻干或液体
浓度:1mg/ml
来源于:KLH conjugated synthetic peptide derived from human Adiponectin receptor 2:315-340/386
亚型:IgG
纯化方法:affinity purified by Protein A
储存液:0.01M TBS(pH7.4) with 1% BSA, 0.03% Proclin300 and 50% Glycerol.
别 名:Adipo R2; Progestin and adipoQ receptor family member II; Adipor2; PAQR2; ADR2_HUMAN.
保存条件:在-20°C下保存一年。避免重复冻融循环。冻干抗体在室温下至少稳定一个月,并在-20°C下保持一年以上。当在无菌pH7.4 0.01M PBS或抗体稀释剂中重组时,抗体在2-4°C下至少稳定两周。
产品介绍
脂联素受体,adipor1(mim 607945)和adipor2,作为球形和全长脂联素(mim 605441)的受体,介导AMPK(参见mim 602739)和PPARα(ppara;mim 170998)配体活性的增加,以及脂联素的脂肪酸氧化和葡萄糖摄取(Yamauchi等人,2003[PubMed 12802337])。[supplied by OMIM, Mar 2008]
功能
球蛋白和全长脂联素(apm1)受体,是脂肪细胞分泌的一种重要激素,起到抗糖尿病的作用。可能参与调节脂肪代谢的代谢途径,如脂肪酸氧化。介导脂联素增加AMPK、PPARA配体活性、脂肪酸氧化和葡萄糖摄取。对球蛋白和全长脂联素具有一定的中间亲和受体活性。
亚单位
可能形成同型和异多聚体。
疾病
膜;多通道膜蛋白。注=局限于细胞膜和细胞内细胞器。
在骨骼肌、肝脏和胎盘中高度表达。在脑、心、结肠、脾、肾、胸腺、小肠、外周血白细胞和肺组织中表达较弱。
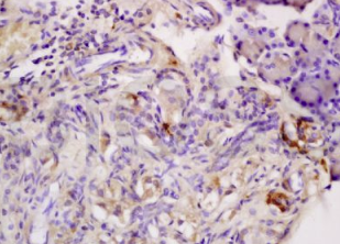
组织/细胞:大鼠胰腺组织;4%多聚甲醛固定和石蜡包埋;
抗原提取:柠檬酸缓冲液(0.01M,pH 6),15min煮沸,用3%过氧化氢阻断内源性过氧化物酶30min;37℃下阻断缓冲液(正常山羊血清)20 min;
孵育:抗脂联素受体2多克隆抗体,未结合 1:200,4°C下过夜,然后与二级抗体 结合,DAB 染色。
重要注意事项:
本产品仅用于研究用途,不用于人类、治疗或诊断应用。
公司优势:
1)质量:我司提供的的试剂为世界
2)价格:价格实惠,量大从优。
4)服务:提供完整的售前、售后和售中服务。售后到底
如需订购脂联素受体2抗体,请联系我们。
Anti-Amylin 糖尿病相关肽/胰岛淀粉样肽抗体 |
Anti-β-Amyloid 1-42 CT(Aβ1-42) β淀粉样肽1-42 (C端抗体) |
Anti-β-Amyloid(1-16) β淀粉样肽(1-16)抗体 |
Anti-β-Amyloid(31-35) β淀粉样肽(31-35)抗体 |
Anti-β-Amyloid(1-28) β淀粉样肽(1-28)抗体 |
Anti-β-Amyloid(1-40) β淀粉样肽(1-40)抗体 |
Anti-β-Amyloid 1-40(CT) β淀粉样肽 1-40 C端抗体 |
Anti-β-Amyloid 1-40(CT)mouse β淀粉样肽 1-40 C端抗体 |