您的位置: 网站首页 >> 产品中心 >> >> 抗体 > BTB/POZ结构域蛋白17抗体(BTBD17)
产品名称:

BTB/POZ结构域蛋白17抗体(BTBD17)

产品型号: 产品时间: 2023-03-08
BTB/POZ结构域蛋白17抗体(BTBD17),也称为poz(poxvirus和zinc finger)域,是一个N端均聚域,包含多个Kelch重复和/或c2h2型zinc finger副本。含有btb结构域的蛋白质被认为通过控制染色质的结构和功能参与转录调控。

产品概述

英文名称:Anti-BTBD17​

中文名称:BTB/POZ结构域蛋白17抗体(BTBD17)

抗体来源:兔子

克隆类型:多克隆

交叉反应:人、小鼠、大鼠、狗、绵羊​

产品应用:WB=1:500-2000 ELISA=1:500-1000 IHC-P=1:100-500 IHC-F=1:100-500 IF=1:50-200(石蜡切片需做抗原修复)

分  子 量:49kDa

​细胞定位:分泌型蛋白

状态:冻干或液体

浓度:1mg/ml

来源于:KLH conjugated synthetic peptide derived from human BTBD17:101-200/478

亚型:IgG

纯化方法:affinity purified by Protein A

储存液:0.01M TBS(pH7.4) with 1% BSA, 0.03% Proclin300 and 50% Glycerol.

别    名:BTB/POZ domain-containing protein 17; btbd17; BTBDH_HUMAN; Galectin-3-binding protein-like.

保存条件:在-20°C下保存一年。避免反复冻融。冻干抗体在室温下至少稳定一个月,并在-20°C下保持一年以上。当在无菌pH7.4 0.01M PBS或抗体稀释剂中重组时,抗体在2-4°C下至少稳定两周。

 

​产品介绍:

btb(宽复合体、tramrack和bric a brac)域,也称为poz(poxvirus和zinc finger)域,是一个N端均聚域,包含多个Kelch重复和/或c2h2型zinc finger副本。含有btb结构域的蛋白质被认为通过控制染色质的结构和功能参与转录调控。btbd17(btb/poz结构域包含蛋白质17),也称为btbd17 a,galetin-3结合蛋白样或lgals3bpl,是一种478氨基酸蛋白质,包含一个btb(poz)结构域和一个back(btb/kelch相关)结构域。编码btbd17的基因映射到人类17号染色体,占人类基因组的2.5%以上,编码了1200多个基因。两个关键的肿瘤抑制基因与17号染色体有关,即p53和brca1。p53表达障碍或缺失与恶性细胞生长和Li-Fraumeni综合征有关。

 

亚细胞位置:

分泌的(潜在的)。

 

相似性:

包含1个back(btb/kelch关联)域。

包含1个BTB(POZ)域。

 

重要提示:

本产品仅用于研究用途,不用于人类、治疗或诊断应用

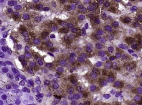
多聚甲醛固定,石蜡包埋(大鼠胰腺);经柠檬酸钠缓冲液(pH6.0)煮沸15min后恢复抗原;用3%过氧化氢阻断内源过氧化物酶20分钟;阻断缓冲液(正常山羊血清)37℃30min;用BTBD17多克隆抗体进行抗体孵育未结合抗体在1:400下在4°C下过夜,然后根据SP试剂盒(兔子)说明和DAB染色进行操作。

公司优势:
1)质量:我司提供的的试剂为世界。
2)价格:价格实惠,量大从优。
4)服务:提供完整的售前、售后和售中服务。售后到底。

如需订购BTB/POZ结构域蛋白17抗体(BTBD17)​​,请联系我们。

Anti-Eukaryotic aspartyl protease(Rice)  天冬氨酸蛋白酶家族蛋白抗体(水稻蛋白的一种)
Anti-EV71(Human enterovirus 71)  肠道病毒71型/手足口病病毒抗体
Anti-EXPB-2(beta-expansin)death inducer-obliterator-2  植物延展素-β
Anti-Fabp2 (fatty acid binding protein 2, intestinal)  脂肪酸结合蛋白2抗体

留言框

  • 产品:

  • 您的单位:

  • 您的姓名:

  • 联系电话:

  • 常用邮箱:

  • 省份:

  • 详细地址:

  • 补充说明:

  • 验证码:

    请输入计算结果(填写阿拉伯数字),如:三加四=7
分享到:
版权所有©2019 上海晅科生物科技有限公司 备案号:京ICP证000000号
  • 扫一扫,关注我们