英文名称:Anti-BMP4
中文名称:骨形态发生蛋白4抗体(BMP4)
抗体来源:兔子
克隆类型:多克隆
交叉反应:Human, Mouse, Rat, Sheep
产品应用:WB=1:500-2000 ELISA=1:500-1000 IHC-P=1:100-500(石蜡切片需做抗原修复)
分 子 量:13/45kDa
细胞定位:细胞外基质 分泌型蛋白
状态:冻干或液体
浓度:1mg/ml
来源于:KLH conjugated synthetic peptide derived from human BMP4:293-450/408
亚型:IgG
纯化方法:affinity purified by Protein A
储存液:0.01M TBS(pH7.4) with 1% BSA, 0.03% Proclin300 and 50% Glycerol.
别 名:BMP 4; BMP2B; BMP2B1; Bone morphogenetic protein 4; DVR4; ZYME; BMP4_HUMAN; BMP-4; Bone morphogenetic protein 2B; BMP-2B.
保存条件:在-20°C下保存一年。避免反复冻融。冻干抗体在室温下至少稳定一个月,并在-20°C下保持一年以上。当在无菌pH7.4 0.01M PBS或抗体稀释剂中重组时,抗体在2-4°C下至少稳定两周。
产品介绍:
骨形态发生蛋白属于结构相关信号蛋白的TGF-β超家族。这种超家族的成员在整个动物王国中有广泛的代表性,并与各种发育过程有关。TGFβ超家族的蛋白质是由两条12-15kDa多肽链组成的二硫化物连接的二聚体。正如他们的名字所暗示的,BMP启动、促进和调节骨骼的发育、生长、重塑和修复。在加入BMP4(也被称为BMP2B)后观察到Smad1易位到细胞核,这表明BMP4可能在Smad通路的激活中起作用。BMP被分泌到细胞外基质中。
功能:
诱导软骨和骨形成。也可用于中胚层诱导、牙齿发育、肢体形成和骨折修复。与pthlh/pthrp协同作用,刺激胚胎乳腺发育过程中的导管外生长,抑制毛囊诱导。
子单元:
同二聚体;二硫键。与GREM2交互。由twsg1和chrd组成的复合体的一部分。与丝氨酸蛋白酶、HTRA1和HTRA3相互作用;与两者的相互作用抑制BMP4介导的信号传导。这种抑制需要HTRA蛋白酶活性。与SOSDC1交互。
亚细胞位置:
分泌的,细胞外间隙,细胞外基质。
组织特异性:
在肺部和肾脏中表达。也存在于正常和肿瘤性前列腺组织以及前列腺癌细胞系中。
疾病:
小眼畸形,综合征,6(mcops6)【mim:607932】:一种以小眼症/与面部、生殖器、骨骼、神经和内分泌异常相关的眼病。小眼症是一种眼部形成障碍,从单眼的小尺寸到*的双侧眼组织缺失(无眼症)。在许多情况下,小眼症/无眼症与包括非眼部异常的综合征有关。注=该疾病是由影响本条所述基因的突变引起的。
非综合征性口齿面裂11(OFC11)【MIM:600625】:一种先天性缺陷,由唇裂伴或不伴腭裂构成。在三分之二的病例中,唇裂与腭裂有关。唇裂可以发生在一侧或两侧,其严重程度从上唇的一个简单缺口到伸入鼻孔底部并累及上牙龈的整个唇口不等。注=该疾病是由影响本条所述基因的突变引起的。
相似性:
属于TGFβ家族。
重要提示:
本产品仅用于研究用途,不用于人类、治疗或诊断应用
骨形态发生蛋白-4(BMP4)是转化生长因子β超家族成员,也参与器官发生,细胞增殖、分化及凋亡等。
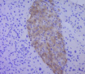
多聚甲醛固定,石蜡包埋(小鼠胰腺组织);用柠檬酸钠缓冲液(pH6.0)煮沸15min后提取抗原;用3%过氧化氢阻断内源过氧化物酶20分钟;阻断缓冲液(正常山羊血清)37℃30min;用BMP4 POL抗体孵育未结合的环状抗体在1:400下在4°C下过夜,然后结合二级20分钟,DAB染色。
公司优势:
1)质量:我司提供的的试剂为世界。
2)价格:价格实惠,量大从优。
4)服务:提供完整的售前、售后和售中服务。售后到底。
如需订购骨形态发生蛋白4抗体(BMP4),请联系我们。
Anti-MMP-3(matrix metalloproteinase-3/Transin-1/SL-1/Stromelysin-1 precursor) 基质金属蛋白酶-3抗体 |
Anti-MMP-7(Matrilysin/matrix metalloproteinases-7) 基质金属蛋白酶-7抗体 |
Anti-MMP-9(matrix metalloproteinase 9) 基质金属蛋白酶-9抗体 |
Anti-β-2-MG 鼠抗人β2微球蛋白抗体(单抗) |
Anti-Mo anti-KLH 小鼠抗血蓝蛋白抗体 |
Anti-MOG (myelin oligo-dendrocyte glycoprotein-MOG) 髓鞘少树突胶质细胞糖蛋白抗体 |