您的位置: 网站首页 >> 产品中心 >> >> 抗体 > α-辅肌动蛋白4(内参)抗体(actinin 4)
产品名称:

α-辅肌动蛋白4(内参)抗体(actinin 4)

产品型号: 产品时间: 2023-03-08
α-血影蛋白基因超家族actinins属于A组,代表各种细胞骨架蛋白,包括α和βspectrins和dystrophins。α-辅肌动蛋白和肌动蛋白结合蛋白在不同细胞类型的多个角色。在非肌细胞的细胞骨架蛋白,是发现微丝束沿相交和粘着型,它是参与结合肌动蛋白的膜。在比较光滑,骨骼,心脏,肌肉和isoforms是定域到Z盘和类似的密集体α-辅肌动蛋白4(内参)抗体(actinin 4)

产品概述

英文名称:Anti-alpha Actinin 4 (Loading Control)​

中文名称:α-辅肌动蛋白4(内参)抗体(actinin 4)

抗体来源:兔

克隆类型:多克隆

交叉反应:人、大鼠、小鼠、鸡、猪、牛、兔​

产品应用:WB=1:500-2000 ELISA=1:500-1000 IHC-P=1:400-800 IHC-F=1:400-800 IF=1:100-500(石蜡切片需做抗原修复)  ​

尚未在其他应用程序中测试。

用户终应确定合适稀释浓度。

分子量:105kDa

细胞定位:细胞核 细胞浆 

状态:冻干或液体

浓度:1mg/ml

来源于:KLH conjugated synthetic peptide derived from human Actinin alpha 4:811-911/911

亚型:IgG

纯化方法:affinity purified by Protein A

储存液:0.01M TBS(pH7.4) with 1% BSA, 0.03% Proclin300 and 50% Glycerol.

​别    名:actinin 4; Actinin alpha 4; Actinin alpha-4; Alpha-actinin-4; actinin4; ACTN 4; ACTN4; ACTN4_HUMAN; DKFZp686K23158; F actin cross linking protein; F-actin cross-linking protein; Focal segmental glomerulosclerosis 1; FSGS 1; FSGS; FSGS1; Non muscle alpha actinin 4; Non-muscle alpha-actinin 4.

保存条件:在-20°C下保存一年。避免重复冻融循环。冻干抗体在室温下至少稳定一个月,并在-20°C下保持一年以上。当在无菌pH7.4 0.01M PBS或抗体稀释剂中重组时,抗体在2-4°C下至少稳定两周。

产品介绍

α-血影蛋白基因超家族actinins属于A组,代表各种细胞骨架蛋白,包括α和βspectrins和dystrophins。α-辅肌动蛋白和肌动蛋白结合蛋白在不同细胞类型的多个角色。在非肌细胞的细胞骨架蛋白,是发现微丝束沿相交和粘着型,它是参与结合肌动蛋白的膜。在比较光滑,骨骼,心脏,肌肉和isoforms是定域到Z盘和类似的密集体,在他们的帮助锚肌原纤维肌动蛋白丝。本encodes a非肌性肌动蛋白基因的α-异构体,这是集中在细胞质,参与转移性和思想的过程。在这个基因的突变已经与局灶节段达和肾小球硬化。RefSeq提供的2008年7月

 

功能:

肌动蛋白交联蛋白,这是一个思想形态锚定肌动蛋白intracellular各种结构。这是一个捆绑蛋白。可能参与通过其协会与复杂。车是必要的高效复杂的转铁蛋白受体的循环,但不为EGFR降解。

subcellular位置:

大鼠。细胞质。注=定域在细胞质颗粒的含mrnp编码mRNA的表达。共有肌动蛋白应力纤维。核转位诱导PI3激酶可以由细胞松弛素D的抑制剂wortmannin或是定域在核中的细胞线(A公司)乳腺癌细胞系MCF-7,口腔癌症的IMC层膀胱肿瘤2 7,和Ku)。

 

组织特异性:

广泛表达。

 

疾病:

缺损的原因局灶节段达ACTN4)是肾小球硬化型1(MIM 603278 fsgs1)[:]。a肾脏病理学定义的存在造成肾小球硬化节段达与蛋白尿和水肿,减少glomerular过滤率。肾功能不全(O到终末期肾脏疾病,高度病态的状态,无论是渗析治疗或肾移植。

 

相似性:

α-辅肌动蛋白是友好的家庭。

1含有肌动蛋白结合域。

包含2 CH(调宁蛋白脢)域。

2域包含EF手。

包含4收缩蛋白重复序列。

​本产品仅用于研究用途,不用于人类、治疗或诊断应用。​

​​​​​​​

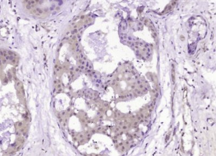
多聚甲醛固定,石蜡包埋(人乳腺癌);经柠檬酸钠缓冲液(pH6.0)煮沸15min后获得抗原;用3%过氧化氢阻断内源性过氧化物酶20分钟;阻断缓冲液(正常山羊血清)37℃30min;用α-肌动蛋白4负荷控制抗体多克隆抗体Unco孵育在4°C温度下,1:400整晚注射,然后根据SP试剂盒(兔子)说明和DAB染色进行操作。

重要注意事项:

本产品仅用于研究用途,不用于人类、治疗或诊断应用。

公司优势:
1)质量:我司提供的的试剂为世界
2)价格:价格实惠,量大从优。
4)服务:提供完整的售前、售后和售中服务。售后到底

如需订购α-辅肌动蛋白4(内参)抗体(actinin 4)​​​,请联系我们。

Anti-CK16(Cytokeratin 16)  细胞角蛋白16抗体
Anti-CK19(Cytokeratin 19)  细胞角蛋白19抗体
Anti-CK2(casein kinase 2)  酪氨酸激酶2抗体
Anti-CK4 (Cytokeratin 4)  细胞角蛋白4抗体
Anti-CK5 (Cytokeratin 5)  细胞角蛋白5抗体
Anti-CK8(Cytokeratin 8)  细胞角蛋白8抗体
anti-CKLFSF2(human)(chemokine-like factor superfamily 2)  人类新细胞因子/趋化素样因子超家族成员2抗体
claudin-5  紧密连接蛋白-5抗体
CKIP-1(casein kinase 2 interaction protein 1)  酪蛋白激酶2相互作用蛋白1抗体

留言框

  • 产品:

  • 您的单位:

  • 您的姓名:

  • 联系电话:

  • 常用邮箱:

  • 省份:

  • 详细地址:

  • 补充说明:

  • 验证码:

    请输入计算结果(填写阿拉伯数字),如:三加四=7
分享到:
版权所有©2019 上海晅科生物科技有限公司 备案号:京ICP证000000号
  • 扫一扫,关注我们