您的位置: 网站首页 >> 产品中心 >> >> 抗体 > 酸性磷酸酶样蛋白2抗体(ACPL2)
产品名称:

酸性磷酸酶样蛋白2抗体(ACPL2)

产品型号: 产品时间: 2023-03-08
aclp2(酸性磷酸酶样2),也被称为unq370或pro706,是一种480氨基酸分泌蛋白,其功能是催化磷酸单酯向醇和磷酸盐的依赖于水的转化。ACPL2以两种选择性剪接亚型表达,由一个映射到3号染色体的基因编码,该染色体包含1100多个基因,包括趋化因子受体(CKR)基因簇和多种人类癌症相关基因座。3号染色体上的关键抑瘤基因包括编码凋亡介质rassf1、酸性磷酸酶样蛋白2抗体(ACPL2)。

产品概述

英文名称:Anti-ACPL2​

中文名称:酸性磷酸酶样蛋白2抗体(ACPL2)

抗体来源:兔

克隆类型:多克隆

交叉反应:人、大鼠、小鼠、狗、猪、牛、马、羊​

产品应用:WB=1:500-2000 ELISA=1:500-1000 IHC-P=1:400-800 IHC-F=1:400-800 IF=1:50-200(石蜡切片需做抗原修复)

尚未在其他应用程序中测试。

用户终应确定合适稀释浓度。

分子量:53kDa

细胞定位:分泌型蛋白

状态:冻干或液体

浓度:1mg/ml

来源于:KLH conjugated synthetic peptide derived from human ACPL2:51-150/480

亚型:IgG

纯化方法:affinity purified by Protein A

储存液:0.01M TBS(pH7.4) with 1% BSA, 0.03% Proclin300 and 50% Glycerol.

​别    名:acid phosphatase-like 2; Acid phosphatase-like protein 2; acpl2; ACPL2_HUMAN; EC=3.1.3.2.

保存条件:在-20°C下保存一年。避免重复冻融循环。冻干抗体在室温下至少稳定一个月,并在-20°C下保持一年以上。当在无菌pH7.4 0.01M PBS或抗体稀释剂中重组时,抗体在2-4°C下至少稳定两周。

产品介绍

aclp2(酸性磷酸酶样2),也被称为unq370或pro706,是一种480氨基酸分泌蛋白,其功能是催化磷酸单酯向醇和磷酸盐的依赖于水的转化。ACPL2以两种选择性剪接亚型表达,由一个映射到3号染色体的基因编码,该染色体包含1100多个基因,包括趋化因子受体(CKR)基因簇和多种人类癌症相关基因座。3号染色体上的关键抑瘤基因包括编码凋亡介质rassf1、细胞迁移调节剂hyal1和血管生成抑制因子sema3b的基因。Marfan综合征、卟啉病、von Hippel-Lindau综合征、成骨不全症和Charcot-Marie-Touth病是与细胞凋亡相关的众多遗传疾病中的一部分。3号染色体。

 

亚细胞位置:

分泌的

 

相似性:

属于组氨酸磷酸酶家族。

 

重要注意事项:

本产品仅用于研究用途,不用于人类、治疗或诊断应用。

​​​​​

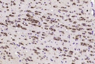
多聚甲醛固定,石蜡包埋(小鼠脑);用柠檬酸钠缓冲液(pH6.0)煮沸15min;用3%过氧化氢阻断内源过氧化物酶20分钟;在37℃下封闭缓冲液(正常山羊血清)30min;在1200℃下用(ACP2)多克隆抗体进行抗体孵育。在4°C温度下,按照SP试剂盒(兔子)说明和DAB染色进行操作。

公司优势:
1)质量:我司提供的的试剂为世界。
2)价格:价格实惠,量大从优。
4)服务:提供完整的售前、售后和售中服务。售后到底。

如需订购酸性磷酸酶样蛋白2抗体(ACPL2)​​​​​​​​​​,请联系我们。

Anti-β-2-MG  鼠抗人β2微球蛋白抗体(单抗)
Anti-Mo anti-KLH  小鼠抗血蓝蛋白抗体
Anti-MOG (myelin oligo-dendrocyte glycoprotein-MOG)  髓鞘少树突胶质细胞糖蛋白抗体
Anti-Mouse anti-human HAS  鼠抗人血清白蛋白单克隆抗体
Anti-Mouse IgA  兔抗小鼠IgA抗体
Anti-MPO (myeloperoxidase)  髓过氧化物酶抗体
Anti-MRP1(Multidrug Resistanec-Associated Protein 1)  多药耐药相关蛋白1抗体
Anti-MRP2 (multidrug resistance-associated protein2)  多药耐药相关蛋白2抗体

留言框

  • 产品:

  • 您的单位:

  • 您的姓名:

  • 联系电话:

  • 常用邮箱:

  • 省份:

  • 详细地址:

  • 补充说明:

  • 验证码:

    请输入计算结果(填写阿拉伯数字),如:三加四=7
分享到:
版权所有©2019 上海晅科生物科技有限公司 备案号:京ICP证000000号
  • 扫一扫,关注我们