英文名称:Anti-BTN2A1
中文名称:嗜乳脂蛋白2亚型A1抗体(BTN2A1)
抗体来源:兔子
克隆类型:多克隆
交叉反应:人
产品应用:ELISA=1:500-1000 IHC-P=1:100-500 IHC-F=1:100-500 Flow-Cyt=3μg/Test ICC=1:100-500 IF=1:100-500(石蜡切片需做抗原修复)
分 子 量:57kDa
细胞定位:细胞膜
状态:冻干或液体
浓度:1mg/ml
来源于:KLH conjugated synthetic peptide derived from human BTN2A1:101-200/527 <Extracellular>
亚型:IgG
纯化方法:affinity purified by Protein A
储存液:0.01M TBS(pH7.4) with 1% BSA, 0.03% Proclin300 and 50% Glycerol.
别 名:BK14H9.1; BT2.1; BT2A1_HUMAN; BTF1; BTN2A1; Butyrophilin BTF1; Butyrophilin subfamily 2 member A1; CTA-14H9.1; DJ3E1.1.
保存条件:在-20°C下保存一年。避免反复冻融。冻干抗体在室温下至少稳定一个月,并在-20°C下保持一年以上。当在无菌pH7.4 0.01M PBS或抗体稀释剂中重组时,抗体在2-4°C下至少稳定两周。
产品介绍:
这个基因编码免疫球蛋白超家族的一个成员。该基因位于6号染色体上主要组织相容性复合体juxta端粒区的一个类酪蛋白基因簇中。在这个簇中已经鉴定出这个基因的一个假基因。编码蛋白是一种参与脂质、脂肪酸和甾醇代谢的完整质膜蛋白。这种基因的改变可能与包括代谢综合征在内的几种疾病状态有关。该基因有多种编码不同亚型的选择性剪接转录变体。[参考文献编号:2013年7月]
亚细胞位置:
膜;单通I型膜蛋白
组织特异性:
在脑、骨髓、小肠、肌肉、脾脏和胰腺中高度表达。肺、肝、肾组织中度表达。
相似性:
属于免疫球蛋白超家族。BTN/MOG系列。
包含1个B30.2/SPRY域。
包含1个免疫球蛋白样V型(免疫球蛋白样)结构域。
重要提示:
本产品仅用于研究用途,不用于人类、治疗或诊断应用
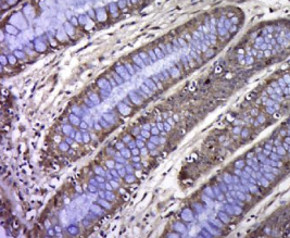
多聚甲醛固定,石蜡包埋(人结肠癌);用柠檬酸钠缓冲液(pH6.0)煮沸15min后获得抗原;用3%过氧化氢阻断内源性过氧化物酶20分钟;阻断缓冲液(正常山羊血清)37℃30min;用BTN2A1聚体进行抗体孵育克隆抗体,未结合,1:400,4°C下过夜,然后结合二级20分钟,DAB染色。
公司优势:
1)质量:我司提供的的试剂为世界。
2)价格:价格实惠,量大从优。
4)服务:提供完整的售前、售后和售中服务。售后到底。
如需订购嗜乳脂蛋白2亚型A1抗体(BTN2A1),请联系我们。
Anti-Ki-67 Ki-67 Antigen抗体 |
Anti-Kiss-1 (Metastasis-suppressor KiSS-1 precursor) 肿瘤转移抑制基因抗体 |
Anti-Klf4 (Kruppel likefactor 4) 肠道内富含的Kruppel样因子/上皮锌指蛋白抗体 |
Anti-KLH 血蓝蛋白抗体 |
Anti-κOR (kappa Opioid receptor) kappa型阿片受体抗体 |
Anti-K-ras 原癌基因K-ras抗体 |