您的位置: 网站首页 >> 产品中心 >> >> 抗体 > 19号染色体开放阅读框80单克隆抗体
产品名称:

19号染色体开放阅读框80单克隆抗体

产品型号: 产品时间: 2023-03-08
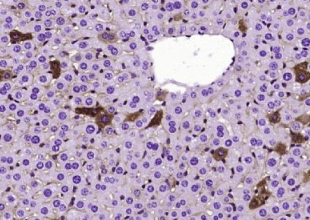
多聚甲醛固定,石蜡包埋(小鼠肝组织);用柠檬酸钠缓冲液(PH6.0)煮沸15min;用3%过氧化氢阻断内源过氧化物酶20分钟;阻断缓冲液(正常山羊血清)37℃30min;19号染色体开放阅读框80单克隆抗体(ANGPTL8)单克隆抗体,未结合(BSM-490腹水)19m)在1:400下在4°C下过夜,然后进行共轭二次20分钟并DAB染色。

产品概述

英文名称:Anti-ANGPTL8​

中文名称:19号染色体开放阅读框80单克隆抗体

抗体来源:小鼠

克隆类型:单克隆

交叉反应:小鼠

产品应用:ELISA=1:500-1000 IHC-P=1:400-800 IHC-F=1:400-800 ICC=1:100-500 IF=1:100-500(石蜡切片需做抗原修复)

尚未在其他应用程序中测试。

用户终应确定合适稀释浓度。

分子量:20kDa

细胞定位:分泌型蛋白

状态:冻干或液体

浓度:1mg/ml

来源于:Recombinant mouse ANGPTL8:16-198/198

亚型:IgG

纯化方法:affinity purified by Protein A

储存液:0.01M TBS(pH7.4) with 1% BSA, 0.03% Proclin300 and 50% Glycerol.

​别    名:C19orf80; ANGL8_HUMAN; Angiopoietin-like protein 8; Betatrophin; Lipasin; Refeeding-induced fat and liver protein; PRO1185; PVPA599; RIFL; TD26; Chromosome 19 open reading frame 80; hepatocellular carcinoma-associated gene TD26; Hepatocellular carcinoma-associated protein TD26.​

保存条件:在-20°C下保存一年。避免重复冻融循环。冻干抗体在室温下至少稳定一个月,并在-20°C下保持一年以上。当在无菌pH7.4 0.01M PBS或抗体稀释剂中重组时,抗体在2-4°C下至少稳定两周。

产品介绍

重要注意事项:

本产品仅用于研究用途,不用于人类、治疗或诊断应用。

多聚甲醛固定,石蜡包埋(小鼠肝组织);用柠檬酸钠缓冲液(PH6.0)煮沸15min;用3%过氧化氢阻断内源过氧化物酶20分钟;阻断缓冲液(正常山羊血清)37℃30min;抗体(ANGPTL8)单克隆抗体,未结合(BSM-490腹水)19m)在1:400下在4°C下过夜,然后进行共轭二次20分钟并DAB染色。

公司优势:
1)质量:我司提供的的试剂为世界。
2)价格:价格实惠,量大从优。
4)服务:提供完整的售前、售后和售中服务。售后到底。

如需订购19号染色体开放阅读框80单克隆抗体​​​​​​​​​​​​​​​​​​,请联系我们。

Anti-NOS-2/iNOS (Nitric Oxide Synthase,Inducible)  一氧化氮合成酶-2抗体(诱导型)
Anti-NOS-3/eNOS (endotheli cell NOS)  一氧化氮合成酶-3抗体(内皮型)
Anti-Nox-4/NADH(NADPH oxidase 4)  NADPH氧化酶4抗体
Anti-NPPC (pro-natriuretic peptide)  促尿钠排泄肽前体C抗体
Anti-NPY Neuropeptide Y)  神经肽 Y抗体
Anti-NPY1R (neuropeptide Y1 receptor)  神经肽Y1受体抗体
Anti-NR1/NMDAR1(N-Methyl-d-Asprtate receptor 1)  谷氨酸受体1抗体

留言框

  • 产品:

  • 您的单位:

  • 您的姓名:

  • 联系电话:

  • 常用邮箱:

  • 省份:

  • 详细地址:

  • 补充说明:

  • 验证码:

    请输入计算结果(填写阿拉伯数字),如:三加四=7
分享到:
版权所有©2019 上海晅科生物科技有限公司 备案号:京ICP证000000号
  • 扫一扫,关注我们