您的位置: 网站首页 >> 产品中心 >> >> 抗体 > 血管紧张素原抗体(Angiotensinogen)
产品名称:

血管紧张素原抗体(Angiotensinogen)

产品型号: 产品时间: 2023-03-08
血管紧张素原抗体(Angiotensinogen)由该基因编码的血管紧张素原蛋白,即血管紧张素原前体或血管紧张素原前体,在肝脏中表达,并在血压降低时被肾素酶切割。由此产生的产物血管紧张素I被血管紧张素转换酶(ACE)切割,生成生理活性的血管紧张素II酶。该蛋白参与维持血压和原发性高血压和子痫前期的发病机制。

产品概述

英文名称:Anti-Angiotensinogen​

中文名称:血管紧张素原抗体(Angiotensinogen)

抗体来源:兔

克隆类型:多克隆

交叉反应:人、大鼠、小鼠

产品应用:WB=1:500-2000 ELISA=1:500-1000 IHC-P=1:400-800 IHC-F=1:400-800 ICC=1:100-500 IF=1:100-500(石蜡切片需做抗原修复)

尚未在其他应用程序中测试。

用户终应确定合适稀释浓度。

分子量:49kDa

细胞定位:分泌型蛋白

状态:冻干或液体

浓度:1mg/ml

来源于:KLH conjugated synthetic peptide derived from human Angiotensinogen:51-120/485

亚型:IgG

纯化方法:affinity purified by Protein A

储存液:0.01M TBS(pH7.4) with 1% BSA, 0.03% Proclin300 and 50% Glycerol.

​别    名:Angiotenogen; Angiotensinogen; AT; ANGT_HUMNA; Serpin A8.

保存条件:在-20°C下保存一年。避免重复冻融循环。冻干抗体在室温下至少稳定一个月,并在-20°C下保持一年以上。当在无菌pH7.4 0.01M PBS或抗体稀释剂中重组时,抗体在2-4°C下至少稳定两周。

产品介绍

由该基因编码的血管紧张素原蛋白,即血管紧张素原前体或血管紧张素原前体,在肝脏中表达,并在血压降低时被肾素酶切割。由此产生的产物血管紧张素I被血管紧张素转换酶(ACE)切割,生成生理活性的血管紧张素II酶。该蛋白参与维持血压和原发性高血压和子痫前期的发病机制。

 

功能:

肾素-血管紧张素系统(ras)的重要组成部分,是血压、体液和电解质平衡的有效调节器。为了应对血压降低,肾素酶分裂血管紧张素原产生血管紧张素-1(血管紧张素1-10)。血管紧张素-1是血管紧张素转换酶(ace)的底物,它去除二肽产生生理活性肽血管紧张素-2(血管紧张素1-8)。血管紧张素-1和血管紧张素-2可进一步加工生成血管紧张素-3(血管紧张素2-8)、血管紧张素-4(血管紧张素3-8)。血管紧张素1-7被ACE2从血管紧张素-2上切下,或被MME(neprilysin)从血管紧张素-1上切下。血管紧张素1-9被ACE2从血管紧张素1上切下。

血管紧张素-2作为一种有效的血管收缩剂直接作用于血管平滑肌,通过其对交感神经系统的作用影响心脏收缩力和心率,并通过其刺激肾上腺皮质肾小球带细胞合成和分泌醛固酮的能力改变肾钠和水的吸收。

血管紧张素-3刺激醛固酮释放。

 

Subunit:

在怀孕期间,以二硫键连接的2:2杂四聚体形式存在,与prg2和c3dg形成复合物(可能是2:2:2杂六聚体)。

 

亚细胞位置:

分泌的

 

组织特异性:

由肝脏表达,在血浆中分泌。

 

疾病:

agt基因变异是原发性高血压(eht)易感性的原因[mim:145500]。原发性高血压是一种血压持续高于正常值且无明显原因的疾病。

AGT缺陷是肾小管发育不全(RTD)的原因[MIM:267430]。RTD是一种常染色体隐性肾小管发育严重障碍,以持续性胎儿无尿和围产期死亡为特征,可能是由于早期发病的羊水过少(波特表型)所致的肺发育不良所致。

 

相似性:

属于塞尔平家族。

 

重要注意事项:

​血管紧张素原(Angiotenogen, AT)是一种大分子糖蛋白和α2球蛋白广泛分布于血液循环、淋巴、脑、肾脏等组织

本产品仅用于研究用途,不用于人类、治疗或诊断应用。

​​​​​​​​​

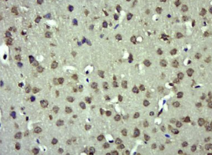
多聚甲醛固定,石蜡包埋(小鼠脑);用柠檬酸钠缓冲液(pH6.0)煮沸15min后获得抗原;用3%过氧化氢阻断内源过氧化物酶20分钟;阻断缓冲液(正常山羊血清)37℃30min;抗体(血管紧张素原)多克隆抗体在1:4孵育。00在4°C下过夜,然后根据SP试剂盒(兔子)说明和DAB染色进行操作。

公司优势:
1)质量:我司提供的的试剂为世界。
2)价格:价格实惠,量大从优。
4)服务:提供完整的售前、售后和售中服务。售后到底。

如需订购血管紧张素原抗体(Angiotensinogen)​​​​​​​​​​​​​​​,请联系我们。

Anti-NGX6 (nasopharyngeal caYTinoma/NPC associated gene 6)  鼻咽癌细胞相关基因6抗体
Anti-NHE1(Na+/H+ Exchanger)  钠氢通道蛋白抗体
Anti-NIK(NF-kappaB-Inducing Kinase)  NFkB诱导的激酶抗体
Anti-NIS(Na+/I-symporter)  钠碘转运体蛋白抗体
Anti-NK-1/SuYTtance P Receptor (Neurokinin receptor1;Tachykinin receptor1)  P物质受体抗体
Anti-NK-2R(Neurokinin A receptor; SKR; SuYTtance-K receptor)  神经激肽A受体/K物质受体抗体

留言框

  • 产品:

  • 您的单位:

  • 您的姓名:

  • 联系电话:

  • 常用邮箱:

  • 省份:

  • 详细地址:

  • 补充说明:

  • 验证码:

    请输入计算结果(填写阿拉伯数字),如:三加四=7
分享到:
版权所有©2019 上海晅科生物科技有限公司 备案号:京ICP证000000号
  • 扫一扫,关注我们