您的位置: 网站首页 >> 产品中心 >> >> 抗体 > 磷酸化蛋白激酶B抗体AKT (phospho T308)
产品名称:

磷酸化蛋白激酶B抗体AKT (phospho T308)

产品型号: 产品时间: 2023-03-08
AKT1基因编码的丝氨酸苏氨酸蛋白激酶在血清饥饿的原代和永生化成纤维细胞中催化失活。磷酸化蛋白激酶B抗体AKT (phospho T308)这种激活是快速和特异的,并且被AKT1的多曲蛋白同源域的突变所消除。结果表明,这种激活是通过磷脂酰肌醇3-激酶发生的。Akt是生长因子诱导的神经元存活的关键介质。生存因子可以通过激活丝氨酸/苏氨酸激酶AKT1以转录无关的方式抑制细胞凋亡。

产品概述

英文名称:Anti-phospho-Akt (Thr308)

中文名称:磷酸化蛋白激酶B抗体AKT (phospho T308)

抗体来源:兔

克隆类型:多克隆

交叉反应:人、大鼠、小鼠

产品应用:WB=1:500-2000 ELISA=1:500-1000 IHC-P=1:400-800 IHC-F=1:400-800 Flow-Cyt=1μg /test IF=1:100-500(石蜡切片需做抗原修复)  ​

尚未在其他应用程序中测试。

用户终应确定合适稀释浓度。

分子量:56kDa

细胞定位:细胞核 细胞浆 细胞膜

状态:冻干或液体

浓度:1mg/ml

来源于:KLH conjugated Synthesised phosphopeptide derived from human Akt around the phosphorylation site of Thr308:MK(p-T)FC

亚型:IgG

纯化方法:affinity purified by Protein A

储存液:0.01M TBS(pH7.4) with 1% BSA, 0.03% Proclin300 and 50% Glycerol.

​别    名:AKT (phospho T308); p-AKT (phospho T308); Akt(Phospho-Thr308); Akt(Phospho T308); C AKT; MGC9965; Oncogene AKT1; PKB; PRKBA; Protein Kinase B Alpha; RAC Alpha; RAC; RAC PK Alpha; RAC Serine/Threonine Protein Kinase; vAKT Murine Thymoma Viral Oncogene Homolog 1; AKT1_HUMAN.

保存条件:在-20°C下保存一年。避免重复冻融循环。冻干抗体在室温下至少稳定一个月,并在-20°C下保持一年以上。当在无菌pH7.4 0.01M PBS或抗体稀释剂中重组时,抗体在2-4°C下至少稳定两周。

产品介绍

AKT1基因编码的丝氨酸苏氨酸蛋白激酶在血清饥饿的原代和永生化成纤维细胞中催化失活。血小板衍生生长因子激活AKT1和相关的AKT2。这种激活是快速和特异的,并且被AKT1的多曲蛋白同源域的突变所消除。结果表明,这种激活是通过磷脂酰肌醇3-激酶发生的。在发育的神经系统中,Akt是生长因子诱导的神经元存活的关键介质。生存因子可以通过激活丝氨酸/苏氨酸激酶AKT1以转录无关的方式抑制细胞凋亡,然后使凋亡机制的成分磷酸化并失活。这种基因的突变与变形综合征有关。已发现该基因的多个选择性剪接转录变体。[参考文献2011年7月提供]

 

Subunit:

与Tcl1a相互作用(通过ph域);这增强了Akt3的磷酸化和活化。与交通6互动。

 

亚细胞位置:

细胞质。细胞核。细胞膜。注=整合素连接蛋白激酶1(ILK1)激活后的细胞核。通过与Tcl1a的相互作用,核易位得到增强。TNK2对Tyr-176的磷酸化导致其定位到细胞膜上,在细胞膜上靶向Thr-308和Ser-473上的进一步磷酸化,从而导致其活化和活化形式易位到核。

 

组织特异性:

广泛表达。肝脏中含量低,胸腺和睾丸中含量略高。

 

相似性:

属于蛋白激酶超家族。Agc-Ser/Thr蛋白激酶家族。Rac亚家族。

包含1个AGC激酶C端域。

包含1个ph域。

包含1个蛋白激酶域。

​本产品仅用于研究用途,不用于人类、治疗或诊断应用。​

​​​​​​​

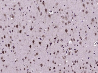
多聚甲醛固定,石蜡包埋(大鼠脑);用柠檬酸钠缓冲液(pH6.0)煮沸15min后获得抗原;用3%过氧化氢阻断内源性过氧化物酶20分钟;在37℃下阻断缓冲液(正常山羊血清)30min;抗体(1)(1)在1处与(磷酸化Akt(Tr308))多克隆抗体孵育。:400在4°C下过夜,然后根据SP试剂盒(兔子)说明和DAB染色进行操作。

重要注意事项:

本产品仅用于研究用途,不用于人类、治疗或诊断应用。

公司优势:
1)质量:我司提供的的试剂为世界
2)价格:价格实惠,量大从优。
4)服务:提供完整的售前、售后和售中服务。售后到底

如需订购磷酸化蛋白激酶B抗体AKT (phospho T308)​​​​​,请联系我们。

Anti-Collagen Ⅲ(Anti-Collagen Type Ⅲ)  抗Ⅲ型胶原抗体(Collagen Ⅲ Ⅲ型胶原)
Anti-Collagen Ⅳ(Anti-Collagen Type Ⅳ)  抗IV型胶原抗体(Collagen Ⅳ Ⅳ 型胶原)
Anti-Collagen Ⅵ(Collagen Type Ⅵ)  抗Ⅵ型胶原抗体
Anti-Collagen I(Anti-Collagen Type I)  抗I型胶原抗体(I型胶原)
Anti-CollagenⅤ(Anti-Collagen Type Ⅴ)  抗Ⅴ型胶原抗体(CollagenⅤ Ⅴ型胶原)
Anti-CollagenⅩ(Collagen TypeⅩ)  抗Ⅹ型胶原抗体
Anti-COX-1 (Prostaglandin-endoperoxide synthase-1)  前列腺素氧化环化酶1抗体
Anti-COX-2 (Prostaglandin-endoperoxide synthase-2)  前列腺素氧化环化酶2抗体

留言框

  • 产品:

  • 您的单位:

  • 您的姓名:

  • 联系电话:

  • 常用邮箱:

  • 省份:

  • 详细地址:

  • 补充说明:

  • 验证码:

    请输入计算结果(填写阿拉伯数字),如:三加四=7
分享到:
版权所有©2019 上海晅科生物科技有限公司 备案号:京ICP证000000号
  • 扫一扫,关注我们