英文名称:Anti-bFGF
中文名称:碱性成纤维细胞生长因子/FGF2抗体(bFGF)
抗体来源:兔子
克隆类型:多克隆
交叉反应:人、小鼠、大鼠、狗、牛、羊、豚鼠
产品应用:ELISA=1:500-1000 IHC-P=1:100-500 IHC-F=1:100-500 Flow-Cyt=1μg/Test ICC=1:100-500 IF=1:100-500(石蜡切片需做抗原修复)
分 子 量:18/32kDa
细胞定位:细胞核 分泌型蛋白
状态:冻干或液体
浓度:1mg/ml
来源于:Full length of human bFGF Recombinded.:143-288/288
亚型:IgG
纯化方法:affinity purified by Protein A
储存液:0.01M TBS(pH7.4) with 1% BSA, 0.03% Proclin300 and 50% Glycerol.
别 名:Basic fibroblast growth factor; FGF basic; FGF-basic; BFGF; FGF-2; FGF B; FGF2; FGF2 basic; FGFB; Fibroblast growth factor 2 (basic); HBGF 2; HBGF-2; HBGF2; HBGH 2; HBGH2; Heparin binding growth factor 2 precursor; Prostatropin; FGF2_HUMAN.
保存条件:在-20°C下保存一年。避免反复冻融。冻干抗体在室温下至少稳定一个月,并在-20°C下保持一年以上。当在无菌pH7.4 0.01M PBS或抗体稀释剂中重组时,抗体在2-4°C下至少稳定两周。
产品介绍:
该基因编码的蛋白是成纤维细胞生长因子家族的成员。FGF家族成员结合肝素,具有广泛的促有丝分裂和血管生成活性。这种蛋白与多种生物学过程有关,如肢体和神经系统发育、伤口愈合和肿瘤生长。该基因的mRNA包含多个多聚腺苷酸化位点,并且可以从非AUG(CUG)和AUG起始密码子中选择性地翻译,从而产生五种具有不同性质的不同亚型。CUG启动的亚型局限于核内并负责内分泌作用,而AUG启动的亚型主要是细胞溶质,负责该FGF的旁分泌和自分泌作用。[由RefSeq提供,2008年7月]。
功能:
在细胞存活、细胞分裂、血管生成、细胞分化和细胞迁移的调控中起着重要作用。在体外作为有效的有丝分裂原发挥作用。
子单元:
单体。同二聚体。与fgfr1、fgfr2、fgfr3和fgfr4相互作用。成纤维细胞生长因子(fgfs)与其受体之间的亲和力被作为共受体的硫酸肝素糖胺聚糖所增强。与cspg4、fgfbp1和tec相互作用。在与fgfbp1、fgf1和fgf2的复合物中发现。
亚细胞位置:
秘密的。原子核。注=通过内质网(ER)/高尔基体独立机制从细胞中导出。FGF2的非常规分泌通过质膜直接易位发生。外源性fgf2与fgfr的结合促进了内吞作用,随后fgf2通过内质膜转移到胞质溶胶中。从胞质溶胶中导入核需要经典的核导入机制,包括蛋白质kpna1和kpnb1以及cep57。
组织特异性:
在颗粒细胞和卵丘细胞中表达。在肝细胞癌细胞中表达,但在非癌性肝组织中不表达。
翻译后修改:
Tyr-215处的磷酸化调节FGF2非常规分泌。
从94、125、126、132、143和162位开始的几个N端已经通过直接测序确定。
相似性:
属于肝素结合生长因子家族。
重要提示:
本产品仅用于研究用途,不用于人类、治疗或诊断应用
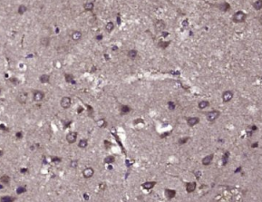
多聚甲醛固定,石蜡包埋(人脑胶质瘤);用柠檬酸钠缓冲液(pH6.0)煮沸15min后提取抗原;用3%过氧化氢阻断内源过氧化物酶20分钟;阻断缓冲液(正常山羊血清)37℃30min;用bFGF聚氯乙烯进行抗体孵育非结合抗体在1:400下在4°C下过夜,然后根据SP试剂盒(兔子)说明和DAB染色进行操作。
公司优势:
1)质量:我司提供的的试剂为世界。
2)价格:价格实惠,量大从优。
4)服务:提供完整的售前、售后和售中服务。售后到底。
如需订购碱性成纤维细胞生长因子/FGF2抗体(bFGF),请联系我们。
anti-Integrin avb3 整合素avb3抗体 |
Anti-Integrin αE2/CD103 整合素αE2抗体 |
Anti-IQGAP1 支架蛋白抗体 |
Anti-IRS P53 (Insulin receptor suYTtrate P53) 胰岛素受体底物p53蛋白抗体 |
Anti-IRS-1 胰岛素受体底物-1抗体 |
Anti-IRS-2 胰岛素受体底物-2抗体 |
Anti-IRS-3 胰岛素受体底物-3抗体 |