英文名称:Anti-phospho-BACE1 (Ser498)
中文名称:磷酸化β分泌酶抗体(p-BACE1)
抗体来源:兔子
克隆类型:多克隆
交叉反应:人、小鼠、大鼠、鸡、狗、猪、牛、马、兔
产品应用:WB=1:500-2000 ELISA=1:500-1000 IHC-P=1:100-500 IHC-F=1:100-500 ICC=1:100-500 IF=1:100-500(石蜡切片需做抗原修复)
分 子 量:51kDa
细胞定位:细胞浆
状态:冻干或液体
浓度:1mg/ml
来源于:KLH conjugated Synthesised phosphopeptide derived from human BACE1 around the phosphorylation site of Ser498:DI(p-S)LL
亚型:IgG
纯化方法:affinity purified by Protein A
储存液:0.01M TBS(pH7.4) with 1% BSA, 0.03% Proclin300 and 50% Glycerol.
别 名:BACE1 (phospho-Ser498); BACE1 (phospho-S498); p-BACE1 (Ser498); p-BACE1 (Se498); APP beta secretase; Asp 2; ASP2; Aspartyl protease 2; BACE 1; BACE; Beta secretase 1; Beta secretase; Beta site amyloid beta A4 precursor protein cleaving enzyme; Beta site amyloid precursor protein cleaving enzyme 1; Beta site amyloid precursor protein cleaving enzyme; Beta site APP cleaving enzyme 1; Beta site APP cleaving enzyme; FLJ90568; HSPC104; KIAA1149; Memapsin-2; Memapsin 2; Memapsin2; Membrane associated aspartic protease 2; Transmembrane aspartic proteinase Asp2; BACE1_HUMAN; Beta-secretase 1; Beta-site amyloid precursor protein cleaving enzyme 1; Beta-site APP cleaving enzyme 1; Membrane-associated aspartic protease 2.
保存条件:在-20°C下保存一年。避免反复冻融。冻干抗体在室温下至少稳定一个月,并在-20°C下保持一年以上。当在无菌pH7.4 0.01M PBS或抗体稀释剂中重组时,抗体在2-4°C下至少稳定两周。
产品介绍:
淀粉样β肽的脑沉积是阿尔茨海默病的早期和关键特征。淀粉样β肽是由两种蛋白酶对淀粉样前体蛋白(APP)进行蛋白水解分解产生的,其中一种蛋白酶是由该基因编码的蛋白质。编码蛋白是肽酶A1蛋白家族的一员,是主要在高尔基体内发现的I型完整膜糖蛋白和天冬氨酸蛋白酶。该基因编码不同亚型的多种转录变体已被描述。[由RefSeq提供]。
功能:
负责淀粉样前体蛋白(APP)的蛋白水解加工。在a-β肽序列的N端,即app的671和672残基之间的裂解,导致β裂解可溶性app的产生和细胞外释放,以及随后由γ分泌酶释放的相应的细胞相关c-末端片段。
子单元:
负责淀粉样前体蛋白(APP)的蛋白水解加工。在a-β肽序列的N端,即app的671和672残基之间的裂解,导致β裂解可溶性app的产生和细胞外释放,以及随后由γ分泌酶释放的相应的细胞相关c-末端片段。
亚细胞位置:
薄膜。
组织特异性:
在大脑和胰腺中高水平表达。
翻译后修改:
糖基化。
相似性:
属于肽酶A1家族。
重要提示:
本产品仅用于研究用途,不用于人类、治疗或诊断应用
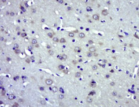
多聚甲醛固定,石蜡包埋(小鼠脑);用柠檬酸钠缓冲液(PH6.0)煮沸15min;用3%过氧化氢阻断内源过氧化物酶20分钟;阻断缓冲液(正常山羊血清)37℃30min;用磷酸化BACE1(Ser498)孵育抗体。未结合的多克隆抗体在1:500下在4°C下过夜,接着是结合的二级20分钟和DAB染色。
公司优势:
1)质量:我司提供的的试剂为世界。
2)价格:价格实惠,量大从优。
4)服务:提供完整的售前、售后和售中服务。售后到底。
如需订购磷酸化β分泌酶抗体(p-BACE1),请联系我们。
Anti-IL-13(Interleukin-13) 白介素13抗体 |
anti-IL-16/LCF(interleukin-16)(Lymphocyte Chemotactic Factor) 白细胞介素-16抗体 |
Anti-IL-17(Interleukin-17) 白介素-17抗体 |
Anti-IL-18/IGIF(Interleukin-18) 白细胞介素-18/干扰素γ诱导因子抗体 |
Anti-IL1RAPL1 (Interleukin 1 receptor accessory protein-like 1) 白介素受体相关蛋白样1前体蛋白抗体 |