英文名称:Anti-Bid
中文名称:BH3结构域凋亡诱导蛋白抗体(Bid)
抗体来源:兔子
克隆类型:多克隆
交叉反应:人,小鼠,老鼠
产品应用:ELISA=1:500-1000 IHC-P=1:100-500 IHC-F=1:100-500 Flow-Cyt=1μg/Test IF=1:100-500(石蜡切片需做抗原修复)
分 子 量:21kDa
细胞定位:细胞浆 线粒体
状态:冻干或液体
浓度:1mg/ml
来源于:KLH conjugated synthetic peptide derived from human Bid:102-195/195
亚型:IgG
纯化方法:affinity purified by Protein A
储存液:0.01M TBS(pH7.4) with 1% BSA, 0.03% Proclin300 and 50% Glycerol.
别 名:Apoptic death agonist; Apoptotic death agonist; Apoptotic death agonist BID; BH3 interacting domain death agonist; BH3 interacting domain death agonist; BH3 interacting domain death agonist p11; BH3 interacting domain death agonist p13; BH3 interacting domain death agonist p15; BH3-interacting domain death agonist p11; BID; BID isoform ES(1b); BID isoform L(2); BID isoform Si6; BID_HUMAN; Desmocollin type 4; FP497; HGNC:1050; Human BID coding sequence; MGC15319; MGC42355; p11 BID; p13 BID; p15 BID; p22 BID.
保存条件:在-20°C下保存一年。避免反复冻融。冻干抗体在室温下至少稳定一个月,并在-20°C下保持一年以上。当在无菌pH7.4 0.01M PBS或抗体稀释剂中重组时,抗体在2-4°C下至少稳定两周。
产品介绍:
Bid是一个包含促凋亡bcl2家族成员的bh3结构域,作为一种非活性前体,它在细胞的细胞溶质部分被定位。其活性形式是由caspase 8在fas信号通路中蛋白水解酶分解产生的。分裂的bid转位到线粒体并释放其有效的促凋亡活性,进而诱导细胞色素c释放和线粒体损伤。bcl2对bid的细胞色素c释放活性有拮抗作用。SH3域突变可降低细胞色素c释放活性。在动物模型研究中,发现BID缺陷小鼠对通过FAS传递的死亡因子信号的致死效应有抵抗力。
功能:
主要蛋白水解产物p15 bid允许细胞色素c的释放。1,2和4亚型诱导冰样蛋白酶和凋亡。亚型3不诱导细胞凋亡。对抗BCL-2的保护作用。
子单元:
与促凋亡蛋白bax或抗凋亡蛋白bcl-2形成异二聚体。
亚细胞位置:
细胞质。线粒体膜。注=未清洗时,主要为细胞质。BH3相互作用域死亡激动剂p15:线粒体膜。注意=作为一种完整的膜蛋白转运到线粒体。BH3相互作用域死亡激动剂p13:线粒体膜。注=与线粒体膜有关。亚型1:细胞质。亚型3:细胞质。亚型2:线粒体膜。注=相当大比例的亚型2定位于线粒体,可能被组成性地切割。
组织特异性:
亚型2和3在脾脏、骨髓、大脑和小脑皮层中表达。亚型2在脾脏、胰腺和胎盘中表达(蛋白水平)。亚型3在肺、胰腺和脾脏中表达(蛋白水平)。亚型4在肺和胰腺中表达(在蛋白质水平)。
翻译后修改:
肿瘤坏死因子α诱导半胱天冬酶介导的p22-bid分裂
重要提示:
本产品仅用于研究用途,不用于人类、治疗或诊断应用
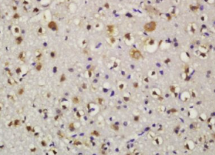
组织/细胞:小鼠脑组织;4%多聚甲醛固定石蜡包埋;
抗原提取:柠檬酸缓冲液(0.01M,pH 6),15min煮沸,用3%过氧化氢阻断内源性过氧化物酶30min;37℃下阻断缓冲液(正常山羊血清)20 min;
孵育:抗BID多克隆抗体,未结合1:200,在4°C下过夜,然后与二级抗体结合,DAB染色。
公司优势:
1)质量:我司提供的的试剂为世界。
2)价格:价格实惠,量大从优。
4)服务:提供完整的售前、售后和售中服务。售后到底。
如需订购BH3结构域凋亡诱导蛋白抗体(Bid),请联系我们。
Anti-GABA-ARα1 γ1氨基丁酸受体α1抗体 |
anti-GABAB1(GABAb Receptor 1) 抗g-氨基丁酸B1受体抗体 |
anti-GABAB2(GABAb Receptor 2) 抗g-氨基丁酸B2受体抗体 |
Anti-GAD-65 (glutamate decarboxylase) 谷氨酸脱羧酶-65抗体 |
Anti-GAD-67 (glutamate decarboxylase 67) 谷氨酸脱羧酶-67抗体 |