您的位置: 网站首页 >> 产品中心 >> >> 抗体 > Bax单克隆抗体
产品名称:

Bax单克隆抗体

产品型号: 产品时间: 2023-03-08
可识别分子量为21KDa的Bax蛋白,此抗体与Bax有较高特异性,且与Bc1-2及Bc1-X蛋白无交叉反应,Bax、Bc1-2和Bc1-X蛋白是凋亡调节蛋白家庭成员。与Bc1-2和Bc1-X相反,Bax蛋白的过量表达加速细胞凋亡。Bax在组织中广泛表达。Bax与Bc1-2比值的高低可用于判断恶性肿瘤耐药及复发,Bax单克隆抗体用于肿瘤及细胞凋亡等方面的研究。

产品概述

英文名称:Anti-Bax​

中文名称:Bax单克隆抗体

抗体来源:小鼠

克隆类型:多克隆

交叉反应:人、小鼠、大鼠、狗、猪、牛、羊​

产品应用:WB=1:500-2000 ELISA=1:500-1000 IHC-P=1:100-500 IHC-F=1:100-500 ICC=1:100-500 IF=1:100-500(石蜡切片需做抗原修复)

分  子 量:21kDa

​细胞定位:细胞浆 细胞膜

状态:冻干或液体

浓度:1mg/ml

来源于:KLH conjugated synthetic peptide derived from human Bax:84-175/192

亚型:IgG

纯化方法:affinity purified by Protein A

储存液:0.01M TBS(pH7.4) with 1% BSA, 0.03% Proclin300 and 50% Glycerol.

别    名:apoptosis regulator BAX; Apoptosis regulator BAX cytoplasmic isoform beta; Apoptosis regulator BAX membrane isoform alpha; Bax isoform psi; BAX protein cytoplasmic isoform delta; Bax protein cytoplasmic isoform delta. antibody Bax protein cytoplasmic isoform gamma; Bax zeta; Bax-protein; Bcl-2-like protein 4; BCL2 associated X protein; BCL2L4; BAX_HUMAN.

保存条件:在-20°C下保存一年。避免反复冻融。冻干抗体在室温下至少稳定一个月,并在-20°C下保持一年以上。当在无菌pH7.4 0.01M PBS或抗体稀释剂中重组时,抗体在2-4°C下至少稳定两周。

 

​产品介绍:

该基因编码的蛋白属于bcl2蛋白家族。bcl2家族成员形成异二聚体或同二聚体,并充当参与多种细胞活动的抗或促凋亡调节器。该蛋白与bcl2形成异二聚体,并作为凋亡激活剂发挥作用。据报道,这种蛋白与线粒体电压依赖性阴离子通道(vdac)相互作用并增加其开放性,从而导致膜电位的损失和细胞色素c的释放。这种基因的表达受肿瘤抑制因子p53的调节,并已被证实与线粒体电压依赖性阴离子通道(vdac)的开放性有关。参与p53介导的凋亡。已经报道了该基因的多种选择性剪接转录变体,编码不同的亚型。[由RefSeq提供,2008年7月]。

 

功能:

通过结合凋亡抑制因子BCL2或其腺病毒同系物E1B 19K蛋白,加速程序性细胞死亡。在应激条件下,发生构象变化,导致线粒体膜易位,导致细胞色素c释放,进而引发细胞凋亡。促进casp3的活化,从而促进细胞凋亡。

 

子单元:

同二聚体。在压力条件下形成更高的低聚物。与BCL2L11相互作用。与bcl2l11的相互作用促进bax寡聚,并与线粒体膜结合,随后释放细胞色素c。与bcl2、e1b 19k蛋白、bcl2l1亚型bcl-x(l)、bcl2l2、mcl1和a1形成异二聚体。与SH3GLB1和HN交互。与SFN和YWHAZ相互作用;这种相互作用发生在细胞质中。在应激条件下,JNK介导的SFN和YWHAZ磷酸化,释放BAX到线粒体。亚型sigma与bcl2a1和bcl2l1亚型bcl-x(L)相互作用。与调节Bax泛素依赖稳定性的RNF144B相互作用。在压力条件下与clu相互作用,引起构象变化,导致bax寡聚并与线粒体结合。不与非应力单元中的clu相互作用。与FAIM2/LFG2交互。

 

亚细胞位置:

亚型α:线粒体膜;单通道膜蛋白。细胞质。注=与细胞质中的14-3-3蛋白质共存。在应激条件下,发生构象变化,引起JNK磷酸化14-3-3蛋白的释放和线粒体膜的易位。

β亚型:细胞质。

异型γ:细胞质。

亚型δ:细胞质(潜能)。

 

组织特异性:

在多种组织中表达。在胶质瘤中发现了psi亚型。α亚型在脾脏、乳腺、卵巢、睾丸、结肠和大脑中表达,在皮肤和肺中低水平表达。亚型sigma在脾脏、乳腺、卵巢、睾丸、肺、结肠、大脑和皮肤的低水平表达。亚型α和亚型sigma在原髓细胞性白血病、组织细胞性淋巴瘤、伯基特淋巴瘤、T细胞淋巴瘤、淋巴母细胞性白血病、乳腺腺癌、卵巢腺癌、前列腺癌、前列腺腺癌、肺癌、表皮样癌、小细胞肺癌、乳腺癌中表达。G癌和结肠癌细胞系。

 

相似性:

属于BCL-2家族。

 

重要提示:

本产品仅用于研究用途,不用于人类、治疗或诊断应用

​可识别分子量为21KDa的Bax蛋白,此抗体与Bax有较高特异性,且与Bc1-2及Bc1-X蛋白无交叉反应,Bax、Bc1-2和Bc1-X蛋白是凋亡调节蛋白家庭成员。与Bc1-2和Bc1-X相反,Bax蛋白的过量表达加速细胞凋亡。Bax在组织中广泛表达。
Bax与Bc1-2比值的高低可用于判断恶性肿瘤耐药及复发,此抗体用于肿瘤及细胞凋亡等方面的研究。研究表明:Bax可能具有肿瘤抑制作用,

​​

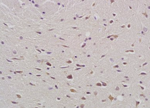
组织/细胞:大鼠脑组织;4%多聚甲醛固定石蜡包埋;

抗原提取:柠檬酸缓冲液(0.01M,pH 6),15min煮沸,用3%过氧化氢阻断内源性过氧化物酶30min;37℃下阻断缓冲液(正常山羊血清)20 min;

孵育:抗Bax多克隆抗体,未结合1:200,在4°C下过夜,然后接合二级抗体和DAB染色。

公司优势:
1)质量:我司提供的的试剂为世界。
2)价格:价格实惠,量大从优。
4)服务:提供完整的售前、售后和售中服务。售后到底。

如需订购Bax单克隆抗体​​,请联系我们。

Anti-Cytokeratin(CT)  细胞角蛋白抗体(C端)
Anti-anti-HCMV PP65/HHV5 PP65(Human Cytomegalovirus PP65 )   人巨细胞病毒PP65/CMV低基质磷脂蛋白抗体
anti-HCMV UL49(Human Cytomegalovirus UL49 Gene)   人巨细胞病毒UL49抗体
anti-HCMV UL23/HHV5 UL23(Human Cytomegalovirus UL23 Gene)  人巨细胞病毒UL23抗体

留言框

  • 产品:

  • 您的单位:

  • 您的姓名:

  • 联系电话:

  • 常用邮箱:

  • 省份:

  • 详细地址:

  • 补充说明:

  • 验证码:

    请输入计算结果(填写阿拉伯数字),如:三加四=7
分享到:
版权所有©2019 上海晅科生物科技有限公司 备案号:京ICP证000000号
  • 扫一扫,关注我们