您的位置: 网站首页 >> 产品中心 >> >> 抗体 > B7-H4抗体
产品名称:

B7-H4抗体

产品型号: 产品时间: 2023-03-08
B7-H4抗体是B7家族中的新成员,它能通过抑制T细胞的增殖、细胞因子的产生和细胞周期的进程来负性调控T细胞的免疫应答,其大量表达B7-H4还可以促进上皮细胞的恶性转化,保护表皮细胞免于失巢凋亡,在肿瘤的发生,进展和转归中发挥重要作用.目前对B7-H4信号通路的进一步的研究必将为自身免疫性疾病、病毒感染性疾病后排斥反应中T细胞介导的免疫应答调控提供了新的途径。

产品概述

英文名称:Anti-B7H4​

中文名称:B7-H4抗体

抗体来源:兔子

克隆类型:多克隆

交叉反应:人、小鼠、大鼠、狗

产品应用:ELISA=1:500-1000 IHC-P=1:100-500 IHC-F=1:100-500 Flow-Cyt=1μg /test IF=1:100-500(石蜡切片需做抗原修复)

分  子 量:28kDa

​细胞定位:细胞膜

状态:冻干或液体

浓度:1mg/ml

来源于:KLH conjugated synthetic peptide derived from human B7H4:50-100/282

亚型:IgG

纯化方法:affinity purified by Protein A

储存液:0.01M TBS(pH7.4) with 1% BSA, 0.03% Proclin300 and 50% Glycerol.

别    名:B7-H4; B7h4; B7S1; B7x; BC032925; Immune costimulatory protein B7H4; MGC41287; PRO1291; T cell costimulatory molecule B7x; V set domain-containing T cell activation inhibitor 1; VCTN1; VTCN1_HUMAN.

保存条件:在-20°C下保存一年。避免反复冻融。冻干抗体在室温下至少稳定一个月,并在-20°C下保持一年以上。当在无菌pH7.4 0.01M PBS或抗体稀释剂中重组时,抗体在2-4°C下至少稳定两周。

 

​产品介绍:

b7-h4蛋白在多种免疫细胞表面表达,并作为T细胞反应的负调节因子发挥作用。B7-H4基因在小鼠和人外周组织中广泛分布,但B7-H4蛋白的细胞表面表达有限,在造血细胞上表现出诱导模式。B7-H4的假定受体可在活化的T细胞上上调。通过抑制细胞周期,T细胞B7-H4结扎对生长、细胞因子分泌和细胞毒性的发展有着深刻的抑制作用。给小鼠注射b7-h4ig会损害抗原特异性T细胞应答,而通过特异性单克隆抗体阻断内源性B7-h4则会促进T细胞应答。因此,B7-H4可能参与外周组织细胞介导免疫的负性调节。

 

功能:

通过抑制T细胞活化、增殖、细胞因子产生和细胞毒性的发展,负性调节T细胞介导的免疫反应。当在肿瘤巨噬细胞的细胞表面表达时,与调节性T细胞(Treg)一起,在抑制肿瘤相关抗原特异性T细胞免疫中起着重要作用。参与促进上皮细胞转化。

 

亚细胞位置:

细胞膜;单通道I型膜蛋白(电位)。注=在细胞表面表达。还检测到一种可溶形式。

 

组织特异性:

在乳腺癌、卵巢癌、子宫内膜癌、肾细胞癌和非小细胞肺癌中过度表达。在活化的T细胞和B细胞、单核细胞和树突状细胞上表达,但在大多数正常组织中不表达(在蛋白质水平)。广泛表达,包括肾、肝、肺、卵巢、胎盘、脾脏和睾丸。

 

翻译后修改:

N-糖基化。

 

相似性:

属于免疫球蛋白超家族。BTN/MOG系列。

包含2个免疫球蛋白样V型(免疫球蛋白样)结构域。

 

重要提示:

本产品仅用于研究用途,不用于人类、治疗或诊断应用

​​​​​​​​​​​​​

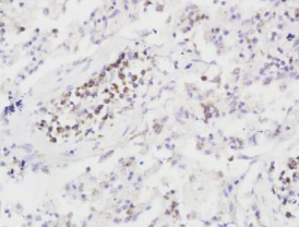
多聚甲醛固定,石蜡包埋(人肺癌);经柠檬酸钠缓冲液(pH6.0)煮沸15min后获得抗原;用3%过氧化氢阻断内源性过氧化物酶20分钟;阻断缓冲液(正常山羊血清)37℃30min;用(B7H4)多氯联苯进行抗体孵育Nal抗体,未结合,1:400,4°C下过夜,然后根据SP试剂盒(兔子)说明和DAB染色进行操作。

 

公司优势:
1)质量:我司提供的的试剂为世界。
2)价格:价格实惠,量大从优。
4)服务:提供完整的售前、售后和售中服务。售后到底。

如需订购B7-H4抗体​​,请联系我们。

Anti-C-Myc/MYC/MTLC  致癌基因抗体
anti-c-Myc tag  c-Myc tag标签抗体
Anti-CNP/CNPase ( 2',3'-cyclic-nucleotide 3'-phosphodiesterase)  C型钠尿肽抗体
anti-CNTF(Ciliary Neurotrophic Factor)  睫状神经营养因子抗体
Anti-Collagen Ⅱ(Anti-Collagen Type Ⅱ)  抗Ⅱ型胶原抗体(Collagen Ⅱ Ⅱ型胶原)
Anti-Collagen Ⅲ(Anti-Collagen Type Ⅲ)  抗Ⅲ型胶原抗体(Collagen Ⅲ Ⅲ型胶原)

留言框

  • 产品:

  • 您的单位:

  • 您的姓名:

  • 联系电话:

  • 常用邮箱:

  • 省份:

  • 详细地址:

  • 补充说明:

  • 验证码:

    请输入计算结果(填写阿拉伯数字),如:三加四=7
分享到:
版权所有©2019 上海晅科生物科技有限公司 备案号:京ICP证000000号
  • 扫一扫,关注我们