您的位置: 网站首页 >> 产品中心 >> >> 抗体 > 腺苷单磷酸活化蛋白激酶β1抗体
产品名称:

腺苷单磷酸活化蛋白激酶β1抗体

产品型号: 产品时间: 2023-03-08
腺苷单磷酸活化蛋白激酶β1抗体该基因编码的蛋白质是AMP激活蛋白激酶(AMPK)的调节亚单位。AMPK是一种由α催化亚单位和非催化β和γ亚单位组成的异源三聚体。AMPK是一种重要的能量传感酶,可以监测细胞的能量状态。针对细胞代谢应激,AMPK被激活,从而磷酸化和灭活乙酰辅酶A羧化酶(ACC)和β-羟基β-甲基戊二酰辅酶A还原酶(HMGCR),这是参与调节脂肪酸和胆固醇从头合成的关键酶。

产品概述

英文名称:Anti-AMPK beta 1/PRKAB1​

中文名称:腺苷单磷酸活化蛋白激酶β1抗体

抗体来源:兔

克隆类型:多克隆

交叉反应:人、大鼠、鸡​

产品应用:ELISA=1:500-1000 IHC-P=1:400-800 IHC-F=1:400-800 ICC=1:100-500 IF=1:100-500(石蜡切片需做抗原修复)

尚未在其他应用程序中测试。

用户终应确定合适稀释浓度。

分子量:30kDa

细胞定位:细胞核

状态:冻干或液体

浓度:1mg/ml

来源于:KLH conjugated synthetic peptide derived from human AMPK beta 1 :2-100/270

亚型:IgG

纯化方法:affinity purified by Protein A

储存液:0.01M TBS(pH7.4) with 1% BSA, 0.03% Proclin300 and 50% Glycerol.

​别    名:5 AMP activated protein kinase subunit beta 1; AMPK; AMPK beta 1 chain; AMPKb; HAMPKb; PRKAB1; 5'-AMP-activated protein kinase subunit beta-1; AMP-activated protein kinase beta subunit; protein kinase, AMP-activated, noncatalytic, beta-1; AMPK beta -1 chain; 5'-AMP-activated protein kinase beta-1 subunit; AMPKb; AMPK subunit beta-1; AAKB1_HUMAN; AMPK b1; AMPK-b1.

保存条件:在-20°C下保存一年。避免重复冻融循环。冻干抗体在室温下至少稳定一个月,并在-20°C下保持一年以上。当在无菌pH7.4 0.01M PBS或抗体稀释剂中重组时,抗体在2-4°C下至少稳定两周。

产品介绍

该基因编码的蛋白质是AMP激活蛋白激酶(AMPK)的调节亚单位。AMPK是一种由α催化亚单位和非催化β和γ亚单位组成的异源三聚体。AMPK是一种重要的能量传感酶,可以监测细胞的能量状态。针对细胞代谢应激,AMPK被激活,从而磷酸化和灭活乙酰辅酶A羧化酶(ACC)和β-羟基β-甲基戊二酰辅酶A还原酶(HMGCR),这是参与调节脂肪酸和胆固醇从头合成的关键酶。该亚单位可能是AMPK活性的正调节因子。这种亚单位的肉豆蔻酰化和磷酸化已被证实影响AMPK的酶活性和细胞定位。该亚单位也可作为调节AMPK复合体结合的衔接分子。[由RefSeq提供,2008年7月]。

 

功能:

AMP活化蛋白激酶(AMPK)的非催化亚单位,是一种在调节细胞能量代谢中起关键作用的能量传感器蛋白激酶。为了响应细胞内ATP水平的降低,AMPK激活能量产生途径并抑制能量消耗过程:抑制蛋白质、碳水化合物和脂质的生物合成,以及细胞的生长和增殖。AMPK通过代谢酶的直接磷酸化作用,并通过转录调节器的磷酸化作用发挥长期作用。也可以通过重塑肌动蛋白细胞骨架来调节细胞极性,可能通过间接激活肌球蛋白。β非催化亚单位作为一种支架,AMPK复合体通过其C端组装,连接α(prkaa1或prkaa2)和γ亚单位(prkag1、prkag2或prkag3)。

 

Subunit:

AMPK是α催化亚单位(prkaa1或prkaa2)、β(prkab1或prkab2)和γ非催化亚单位(prkag1、prkag2或prkag3)的异源三聚体。与FNIP1和FNIP2相互作用。

 

组织特异性:

在肾脏、心脏、白色脂肪组织、肺和脾脏中高度表达。

 

翻译后修改:

与催化亚单位(prkaa1或prkaa2)结合时磷酸化。被ulk1磷酸化;导致负性调节ampk活性,提示ulk1和ampk之间存在调节反馈环。

 

相似性:

属于5’-AMP活化蛋白激酶β亚单位家族。

 

重要注意事项:

本产品仅用于研究用途,不用于人类、治疗或诊断应用。

​​​​​​​​

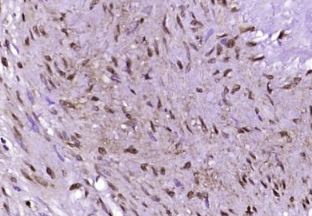
多聚甲醛固定,石蜡包埋(人宫颈癌);经柠檬酸钠缓冲液(pH6.0)煮沸15min后获得抗原;用3%过氧化氢阻断内源性过氧化物酶20分钟;阻断缓冲液(正常山羊血清)37℃30min;用(Prkab1)多克隆抗体进行抗体孵育。1:400在4°C下过夜,然后根据SP试剂盒(兔子)说明和DAB染色进行操作。

公司优势:
1)质量:我司提供的的试剂为世界。
2)价格:价格实惠,量大从优。
4)服务:提供完整的售前、售后和售中服务。售后到底。

如需订购腺苷单磷酸活化蛋白激酶β1抗体​​​​​​​​​​​​​,请联系我们。

Anti-N-cadherin  N-钙粘附分子抗体
Anti-N-coR1 (Nuclear receptor co-repressor 1)  核受体辅助抑制因子抗体
Anti-Nephrin Protein  肾病蛋白抗体
Anti-Nestin  巢蛋白/神经上皮干细胞蛋白抗体
Anti-Nestin  巢蛋白/神经上皮干细胞蛋白抗体
Anti-Neurobeachin protein (AKAP550)  蛋白激酶锚定蛋白/激酶固定蛋白抗体
Anti-Neurocan  神经粘蛋白抗体
Anti-Neurofascin-155  神经束蛋白-155
Anti-NF-H(Neurofilament triplet H)  高分子量神经丝蛋白抗体

留言框

  • 产品:

  • 您的单位:

  • 您的姓名:

  • 联系电话:

  • 常用邮箱:

  • 省份:

  • 详细地址:

  • 补充说明:

  • 验证码:

    请输入计算结果(填写阿拉伯数字),如:三加四=7
分享到:
版权所有©2019 上海晅科生物科技有限公司 备案号:京ICP证000000号
  • 扫一扫,关注我们