您的位置: 网站首页 >> 产品中心 >> >> 抗体 > 水通道蛋白5抗体(Aquaporin 5)
产品名称:

水通道蛋白5抗体(Aquaporin 5)

产品型号: 产品时间: 2023-03-08
水通道蛋白5(AQP5)是一种水通道蛋白。水通道蛋白5抗体(Aquaporin 5)是一个与主要内在蛋白(mip或aqp0)相关的小的完整膜蛋白家族。水通道蛋白5在唾液、眼泪和肺分泌物的生成中起作用。aqp0、aqp2、aqp5和aqp6密切相关,均与12q13对应。

产品概述

英文名称:Anti-Aquaporin 5​

中文名称:水通道蛋白5抗体(Aquaporin 5)

抗体来源:兔

克隆类型:多克隆

交叉反应:人、大鼠、小鼠​​​​​、狗、猪、牛、马、羊​​

产品应用:ELISA=1:500-1000 IHC-P=1:400-800 IHC-F=1:400-800 Flow-Cyt=1μg/Test IF=1:100-500(石蜡切片需做抗原修复)  ​

尚未在其他应用程序中测试。

用户终应确定合适稀释浓度。

分子量:29kDa

细胞定位:细胞膜 ​

状态:冻干或液体

浓度:1mg/ml

来源于:KLH conjugated synthetic peptide derived from mouse AQP5:201-265/265 <Cytoplasmic>

亚型:IgG

纯化方法:affinity purified by Protein A

储存液:0.01M TBS(pH7.4) with 1% BSA, 0.03% Proclin300 and 50% Glycerol.

​别    名:Aquaporin 5; AQP5; AQP 5; AQP-5; AQP5_HUMAN; Aquaporin-5.

保存条件:在-20°C下保存一年。避免重复冻融循环。冻干抗体在室温下至少稳定一个月,并在-20°C下保持一年以上。当在无菌pH7.4 0.01M PBS或抗体稀释剂中重组时,抗体在2-4°C下至少稳定两周。

产品介绍

水通道蛋白5(AQP5)是一种水通道蛋白。水通道蛋白是一个与主要内在蛋白(mip或aqp0)相关的小的完整膜蛋白家族。水通道蛋白5在唾液、眼泪和肺分泌物的生成中起作用。aqp0、aqp2、aqp5和aqp6密切相关,均与12q13对应。[参考文献编号:2008年7月]

 

功能:

形成特定于水的通道。与唾液、眼泪和肺分泌物的产生有关。

 

亚细胞位置:

膜;多通道膜蛋白。

 

相似性:

属于mip/aquaporin(tc 1.a.8)家族。

 

重要注意事项:

水通道蛋白(Aquaporin,AQP)是一组与水分子通透有关的特异性细胞膜转运蛋白。其中,AQP 5在哺乳动物气管、支气管的上皮细胞表达较常见.

本产品仅用于研究用途,不用于人类、治疗或诊断应用。

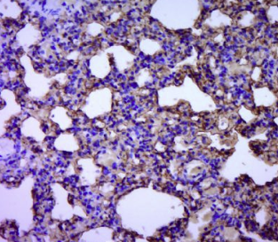
​多聚甲醛固定,石蜡包埋(大鼠肺组织);用柠檬酸钠缓冲液(pH6.0)煮沸15min后获得抗原;用3%过氧化氢阻断内源过氧化物酶20分钟;在37℃下封闭缓冲液(正常山羊血清)30min;抗体(水通道蛋白5)多克隆抗体在1:40孵育。0在4°C下过夜,然后用共轭二次进行20分钟的DAB染色。

公司优势:
1)质量:我司提供的的试剂为世界。
2)价格:价格实惠,量大从优。
4)服务:提供完整的售前、售后和售中服务。售后到底。

如需订购水通道蛋白5抗体(Aquaporin 5)​,请联系我们。

anti-DYKDDDDK Tag (NT)/Flag-Tag polyclonal antibody  抗标签DYKDDDDK Tag抗体(N端)
anti-DYKDDDDK Tag (CT)/Flag-Tag polyclonal antibody  抗标签DYKDDDDK Tag抗体(C端)
Anti-HIV gp120  艾滋病病毒抗体
Anti-HIV gp41  艾滋病病毒抗体
Anti-HIV-1(human immunodeficiency virus type 1)  艾滋病病毒-1/人类免疫缺陷病毒1型抗体
Anti-HIV-1(human immunodeficiency virus type 1)Anti-Anti-Anti-Anti-HIV-1(human immunodeficiency virus type 1)  艾滋病病毒-1/人类免疫缺陷病毒1型抗体
Anti-HLA-DR (human leukoyte antigen DR)  HLA-DR抗原抗体
Anti-HLA-G (Human Leukocyte Antigen-G)  人类白细胞抗原G/组织相容性白细胞抗原G抗体

留言框

  • 产品:

  • 您的单位:

  • 您的姓名:

  • 联系电话:

  • 常用邮箱:

  • 省份:

  • 详细地址:

  • 补充说明:

  • 验证码:

    请输入计算结果(填写阿拉伯数字),如:三加四=7
分享到:
版权所有©2019 上海晅科生物科技有限公司 备案号:京ICP证000000号
  • 扫一扫,关注我们