您的位置: 网站首页 >> 产品中心 >> >> 抗体 > 血管生成素-1抗体(Angiopoietin-1)
产品名称:

血管生成素-1抗体(Angiopoietin-1)

产品型号: 产品时间: 2023-03-08
血管生成素-1抗体(Angiopoietin-1)是在血管发育和血管生成中起重要作用的蛋白质。所有的血管生成素都与内皮细胞特异性酪氨酸蛋白激酶受体具有相似的亲和力。该基因编码的蛋白是一种分泌的糖蛋白,诱导其酪氨酸磷酸化来激活受体。在介导内皮与周围基质及间充质相互作用、抑制内皮通透性方面起着关键作用。这种蛋白也有助于血管成熟和稳定,并可能参与心脏的早期发育选择性剪接导致编码不同亚型的多个转录变体。

产品概述

英文名称:Anti-Angiopoietin-1​

中文名称:血管生成素-1抗体(Angiopoietin-1)

抗体来源:兔

克隆类型:多克隆

交叉反应:人、大鼠、狗,猪,牛​

产品应用:WB=1:500-2000 ELISA=1:500-1000 IHC-P=1:400-800 IHC-F=1:400-800 IF=1:100-500(石蜡切片需做抗原修复)  ​

尚未在其他应用程序中测试。

用户终应确定合适稀释浓度。

分子量:55kDa

细胞定位:分泌型蛋白

状态:冻干或液体

浓度:1mg/ml

来源于:KLH conjugated synthetic peptide derived from human Angiopoietin 1:276-375/498

亚型:IgG

纯化方法:affinity purified by Protein A

储存液:0.01M TBS(pH7.4) with 1% BSA, 0.03% Proclin300 and 50% Glycerol.

​别    名:ANG; AGP 1; AGP1; AGPT; ANG 1; ANG1; Angiopoietin1; Angiogenin; ANGPT 1; ANGPT1; ANGPT-1; Angiopoietin-1; Angiopoietin 1; ANG-1; angiopoietin-1 isoform 1 precursor; ANGP1_HUMAN.

保存条件:在-20°C下保存一年。避免重复冻融循环。冻干抗体在室温下至少稳定一个月,并在-20°C下保持一年以上。当在无菌pH7.4 0.01M PBS或抗体稀释剂中重组时,抗体在2-4°C下至少稳定两周。

产品介绍

血管生成素是在血管发育和血管生成中起重要作用的蛋白质。所有的血管生成素都与内皮细胞特异性酪氨酸蛋白激酶受体具有相似的亲和力。该基因编码的蛋白是一种分泌的糖蛋白,通过诱导其酪氨酸磷酸化来激活受体。在介导内皮与周围基质及间充质相互作用、抑制内皮通透性方面起着关键作用。这种蛋白质也有助于血管成熟和稳定,并可能参与心脏的早期发育。选择性剪接导致编码不同亚型的多个转录变体。[由RefSeq提供,2010年12月]。

 

功能:

通过诱导tek/tie2受体二聚化和酪氨酸磷酸化来结合和激活它。在调节血管生成、内皮细胞存活、增殖、迁移、粘附和细胞扩散、肌动蛋白细胞骨架重组以及维持血管静止中起着重要作用。在胚胎发育过程中需要正常的血管生成和心脏发育。出生后,根据上下文激活或抑制血管生成。抑制血管生成,促进内皮细胞紧密接触的静止血管的血管稳定性。在静止的血管中,Angpt1寡聚体将tek与细胞接触,与相邻细胞的tek分子形成复合物,这导致磷脂酰肌醇3激酶和Akt1信号级联的优先激活。在缺乏细胞粘附的内皮细胞迁移过程中,AngT1招募tek与细胞外基质接触,从而形成局灶性粘附复合物,激活ptk2/fak和下游激酶mapk1/erk2和mapk3/erk1,终刺激新生血管生成。介导血管成熟/稳定。与内皮细胞发育过程有关,与血管内皮生长因子不同。似乎在介导内皮与周围基质和间充质之间的相互作用中起着关键作用。

 

Subunit:

同质齐聚物。与TEK/TIE2互动。

 

亚细胞位置:

分泌的

 

翻译后修改:

糖基化。

 

相似性:

包含1个纤维蛋白原C端域。

Ang1/2与血管生成关系为密切,目前有关该家族成员在肿瘤血管生成中的研究正日益增多。近年来也用于糖尿病导致的血管损伤研究也是热门课题。

重要注意事项:

本产品仅用于研究用途,不用于人类、治疗或诊断应用。

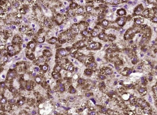
多聚甲醛固定,石蜡包埋(小鼠脑组织);用柠檬酸钠缓冲液(pH6.0)煮沸15min后获得抗原;用3%过氧化氢阻断内源过氧化物酶20分钟;阻断缓冲液(正常山羊血清)37℃30min;抗体(GRP49)多克隆抗体在1:400 O孵育。在4°C下进行微调,然后根据SP试剂盒(兔子)说明和DAB染色进行操作。

公司优势:
1)质量:我司提供的的试剂为世界
2)价格:价格实惠,量大从优。
4)服务:提供完整的售前、售后和售中服务。售后到底

如需订购血管生成素-1抗体(Angiopoietin-1)​​​​​​​​​​​,请联系我们。

Anti-GFP (Green Fluorecent protein)  绿色荧光蛋白(免疫组化用抗体)
Anti-GFP (Green Fluorecent protein)  绿色荧光蛋白
Anti-GFP (Green Fluorecent protein)  绿色荧光蛋白
Anti-GFRA4( Persephin receptor/GFR receptor alpha 4)  GDNF家族受体α-4抗体
Anti-GFRα-1/GDNF(GDNF family receptor alpha-1)  GDNF家族受体α-1抗体
Anti-GHR (growth hormone receptor)  生长激素受体抗体
Anti-Ghrelin  脑肠肽抗体(一种新的生长激素释放肽)
Anti-GHRF/GHRH  生长激素释放激素因抗体
Anti-GIP (Gastric Inhibitory polypeptide)  胃泌素抑制肽抗体
Anti-GITR (glucocorticoidinduced tumor necrosis factor receptor)  糖皮质激素诱导肿瘤坏死因子受体抗体
Anti-Glasses Snake poison Protein  抗眼镜蛇蛇毒蛋白抗体(眼镜蛇)

留言框

  • 产品:

  • 您的单位:

  • 您的姓名:

  • 联系电话:

  • 常用邮箱:

  • 省份:

  • 详细地址:

  • 补充说明:

  • 验证码:

    请输入计算结果(填写阿拉伯数字),如:三加四=7
分享到:
版权所有©2019 上海晅科生物科技有限公司 备案号:京ICP证000000号
  • 扫一扫,关注我们