英文名称:Anti-alpha smooth muscle Actin
中文名称:肌动蛋白α/α-SMA/α Actin抗体
抗体来源:兔
克隆类型:多克隆
交叉反应:人、大鼠、小鼠、兔子
产品应用:WB=1:5000-20000 ELISA=1:500-1000 IHC-P=1:400-800 IHC-F=1:400-800 Flow-Cyt=1μg/Test ICC=1:100-500 IF=1:100-500(石蜡切片需做抗原修复)
尚未在其他应用程序中测试。
用户终应确定合适稀释浓度。
分子量:42kDa
细胞定位:细胞浆
状态:冻干或液体
浓度:1mg/ml
来源于:KLH conjugated synthetic peptide derived from human alpha-SMA:165-260/377
亚型:IgG
纯化方法:affinity purified by Protein A
储存液:0.01M TBS(pH7.4) with 1% BSA, 0.03% Proclin300 and 50% Glycerol.
别 名:alpha sarcomeric Actin; alpha smooth muscle Actin; Actin alpha; ASMA; ASM-A; alpha-SMA; alpha SMA; AAT6; ACTA2; Actin alpha 2 smooth muscle aorta; Actin aortic smooth muscle; ACTSA; ACTVS; Alpha 2 actin; Alpha cardiac actin; Alpha-actin 2; Cell growth inhibiting gene 46 protein; Growth inhibiting gene 46; ACTA_HUMAN; Actin alpha 2 smooth muscle aorta; Actin aortic smooth muscle; Actin, aortic smooth muscle; Alpha 2 actin; Alpha actin 2; Alpha cardiac actin; Alpha-actin 2; Alpha-actin-2; Cell growth inhibiting gene 46 protein; Cell growth-inhibiting gene 46 protein; Growth inhibiting gene 46; MYMY5 .
保存条件:在-20°C下保存一年。避免重复冻融循环。冻干抗体在室温下至少稳定一个月,并在-20°C下保持一年以上。当在无菌pH7.4 0.01M PBS或抗体稀释剂中重组时,抗体在2-4°C下至少稳定两周。
产品介绍
所有真核细胞都表达肌动蛋白,肌动蛋白通常占细胞总蛋白的50%。肌动蛋白丝既能形成稳定又不稳定的结构,是微绒毛和肌肉细胞收缩器的重要组成部分。虽然较低的真核生物,如酵母,只有一个肌动蛋白基因,但较高的真核生物有几个由一个基因家族编码的亚型。哺乳动物组织中至少存在六种肌动蛋白,分为三类。α-肌动蛋白的表达仅限于各种类型的肌肉,而β-和γ-肌动蛋白是其他组织中的长丝的主要成分。小GTPase家族成员调节肌动蛋白细胞骨架的组织。rho控制肌动蛋白应力纤维的装配和局灶性粘连。rac调节质膜肌动蛋白丝的积累。CDC42刺激丝状伪足的形成。
功能
肌动蛋白是高度保守的蛋白质,参与各种类型的细胞运动,在所有真核细胞中普遍表达。
亚单位
Polymerization of globular actin (G-actin) leads to a structural filament (F-actin) in the form of a two-stranded helix. Each actin can bind to 4 others.
细胞质,细胞骨架。
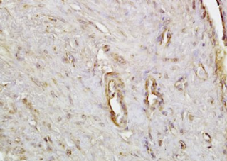
组织/细胞:人子宫内膜组织;4%多聚甲醛固定石蜡包埋;
抗原提取:柠檬酸缓冲液(0.01M,pH 6),15min煮沸,用3%过氧化氢阻断内源性过氧化物酶30min;37℃下阻断缓冲液(正常山羊血清)20 min;
孵育:抗肌动蛋白α/αSMA多克隆抗体,未结合 1:200,在4°C下过夜,然后与二级抗体结合,DAB染色。
重要注意事项:
本产品仅用于研究用途,不用于人类、治疗或诊断应用。
公司优势:
1)质量:我司提供的的试剂为世界
2)价格:价格实惠,量大从优。
4)服务:提供完整的售前、售后和售中服务。售后到底
如需订购肌动蛋白α/α-SMA/α Actin抗体,请联系我们。
Anti-ADORA3/A3AR(adenosine receptor A3) 腺苷受体A3 |
Anti-ADRA1-alpha 1 adrenergic receptor(alpha 1 adr-enoceptor) alpha-1肾上腺素能受体抗体 |
Anti-ADRA2 (alpha2 adrenergic receptor) alpha-2肾上腺素能受体抗体 |
Anti-ADRB1 (β1-adrenergic receptor) 肾上腺素能受体β1抗体 |
Anti-ADRB2 (β2-adrenergic receptor ) 肾上腺素能受体β2抗体 |
Anti-ADRB3/β3-AR (β3-adrenergic receptor) 肾上腺素能受体β3抗体 |
Anti-AE3(anion exchanger protein 3) 阴离子交换蛋白3抗体 |