您的位置: 网站首页 >> 产品中心 >> 细胞 >> 原代细胞 > HCM;人心肌细胞(原代细胞)
产品名称:

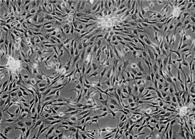
HCM;人心肌细胞(原代细胞)

产品型号: 产品时间: 2023-03-27
HCM;人心肌细胞(原代细胞)是体内*活力的细胞。它们是高度专业化的高氧含量细胞,容纳大量线粒体[1]。它们占心脏质量的75%,但仅构成心脏总细胞数的约三分之一。分化的心肌细胞几乎没有增殖能力; 然而,已显示肥大性生长通过Ras / MEK途径对α1-肾上腺素能刺激作出反应[2]。所有心肌细胞都能够自发地进行节律性去极化和膜的复极化。
ScienCell:6200

产品概述

产品名称:HCM;人心肌细胞(原代细胞)​

​ScienCell:6200

5×10^5个细胞/瓶

来自ScienCell研究实验室的HCM与人类心脏分离。HCM在纯化后冷冻保存并冷冻。每个小瓶含有>1×10^6个细胞,1ml体积。HCM的特征在于具有肌球蛋白特异性抗体的免疫荧光。HCM对HIV-1,HBV,HCV,支原体,细菌,酵母和真菌均为阴性。HCM保证在ScienCell研究实验室提供的条件下进一步培养; 然而,HCM不推荐用于扩增或长期培养,因为细胞不在培养物中增殖。​

​该产品仅供研究使用。它未被批准用于人类,动物或体外诊断程序。​

经检测无支原体、细菌、酵母和真菌污染

​​​​​​​​​​​

心肌细胞是体内*活力的细胞。它们是高度专业化的高氧含量细胞,容纳大量线粒体[1]。它们占心脏质量的75%,但仅构成心脏总细胞数的约三分之一。分化的心肌细胞几乎没有增殖能力; 然而,已显示肥大性生长通过Ras / MEK途径对α1-肾上腺素能刺激作出反应[2]。所有心肌细胞都能够自发地进行节律性去极化和膜的复极化。心肌细胞的收缩是肌源性的,其与神经刺激无关。心肌细胞中存在复杂的信号网络,调节心脏的节律性抽吸[3]。心肌细胞肥大和细胞凋亡与心力衰竭期间收缩功能的丧失有关。更好地了解心脏信号网络将有助于揭示调节心肌细胞死亡的细胞机制。​

​胶质祖细胞,其根据培养基在体外发育成星形胶质细胞或少突胶质细胞

293 [HEK-293] (人胚肾细胞)
HBL-100(整合SV40 基因的乳腺上皮细胞)
CGM1(EB 病毒转化的B 细胞)
WISH(羊膜细胞)
HL-7702(肝细胞)

公司优势:
1)质量:我司提供的的细胞为世界ATCC和Sciencell
2)价格:价格实惠,量大从优,产品价格随时会变动,实时报价还请来电获取。
4)服务:提供完整的售前、售后和售中服务。售后到底

 

​在接收时将细胞从干冰直接并立即转移至液氮,并将细胞保持在液氮中直至实验需要细胞培养。

晅科生物致力于为国内科研用户提供*质的产品,完善的服务。帮助您实验顺利。视天气状况和运输距离远近,公司与客户协商

 

晅科生物为研究界提供各种高质量的正常人和动物细胞,细胞培养基和试剂,基因分析工具,细胞衍生的分子生物学产品,基于细胞的检测试剂盒和干细胞产品。

​客户在细胞培养过程中,有任何技术问题可以联系售后服务

​客户应具有一定细胞培养知识与经验,并具备基本实验设备,如细胞培养实验室、无菌操作台、CO2培养箱,倒置显微镜等;还应准备好相应的无菌培养基、血清、双抗、细胞培养瓶、培养板等。

 

如需订购HCM;人心肌细胞(原代细胞)​​​​​​​​​​,请联系我们。

此外公司还提供:

MDBK (NBL-1)(牛肾细胞)
LLC-MK2(恒河猴肾细胞)
B95-8(EBV 转化的绒猴白细胞)
Vero(非洲绿猴肾细胞)
COS-7(SV40 转化的非洲绿猴肾细胞)

留言框

  • 产品:

  • 您的单位:

  • 您的姓名:

  • 联系电话:

  • 常用邮箱:

  • 省份:

  • 详细地址:

  • 补充说明:

  • 验证码:

    请输入计算结果(填写阿拉伯数字),如:三加四=7
分享到:
版权所有©2019 上海晅科生物科技有限公司 备案号:京ICP证000000号
  • 扫一扫,关注我们